Ультразвуковое исследование
Основными показаниями к дополнительным исследованиям служат замедленная или повышенная динамика роста ВДМ. Обнаруженные неблагоприятные симптомы при замере матки предполагают проведение селективного УЗИ. Оно проводится по медицинскому показанию в случае неблагоприятного течения беременности.
Измерение живота у будущей мамы «сантиметром» является обязательным мероприятием при каждом посещении врач-акушера и позволяет заподозрить возможную патологию в течении беременности. Достоверным методом, позволяющим разрешить сомнения врача и определить какие-либо нарушения в периоде вынашивания плода, является ультразвуковое исследование. С помощью УЗИ можно узнать:
- максимально точный срок гестации;
- рост и массу плода;
- определить, жив или мертв эмбрион/плод;
- локализацию плаценты;
- размеры и толщину плаценты;
- развивается ли беременность в малых сроках (исключить замершую);
- выявить трофобластическую болезнь;
- исключить внематочную беременность;
- определить положение/предлежание будущего малыша;
- диагностировать фетоплацентарную недостаточность.
Что такое вентрикуломегалия и какой она бывает?

Вентрикуломегалия бывает изолированной асимметричной (расширение одного желудочка или его рогов без изменений в паренхиме мозга), симметричной (наблюдается в обоих полушариях) или диагностируется в сочетании с другими патологиями развития плода. Патология желудочков делится на три типа:
- легкая – расширение органов составляет 10,1–12 мм, выявляется обычно на 20 неделе и нуждается в контроле до родов;
- умеренная – размер желудочков доходит до 12–15 мм, что ухудшает отток ликвора;
- выраженная – показатели по УЗИ превышают 15 мм, что нарушает функции мозга, негативно сказывается на жизнедеятельности плода.
Если боковые желудочки увеличены до 10,1–15 мм (отклонение от нормативов таблицы на 1–5 мм), диагностируют пограничную вентрикуломегалию. Она может протекать бессимптомно до какого-то момента, но на самом деле свидетельствует о возникновении сложного патологического процесса, который постепенно меняет работу многих важных органов.
Причины уменьшения КТР
Неразвивающаяся беременность
Данная патология подтверждается отсутствием движения и сердцебиения у плода. Однако это возможно оценить только у эмбриона, если КТР превышает 6 мм. Если копчико-теменной размер больше 6 мм и сердцебиение не определяется, то исходя из ситуации рекомендуется или повторное УЗИ через 5-7 дней, или экстренное оперативное вмешательство.
Позднее оплодотворение ввиду более поздно наступившей овуляции
Это возможно, например, при наступлении беременности в короткий срок после отмены гормональных контрацептивов. Для подтверждения данной причины необходимо провести контрольное УЗИ через 10-14 дней с определением КТР для более точного определения срока беременности.
Нарушение гормонального фона матери
Чаще это вызвано дефицитом прогестерона. При отсутствии адекватного назначения заместительной терапии возможно прерывание беременности на ранних сроках. Для диагностики используется лабораторные методы определения уровня гормонов.
Инфекционные заболевания у матери
Особенно это характерно для инфекций урогенитального тракта (хламидийная, микоплазменная инфекции). В связи с этим, необходимо проводить обследование на инфекции, передающиеся половым путем беременных женщин, а так же проведение необходимой антибактериальной терапии в допустимые сроки.
Генетические заболевания
Например, синдром Дауна, Шерешевского-Тернера, Патау. При подозрении на данную патологию необходимо проводить биохимическое обследование беременных. При выявлении изменений в результатах УЗИ и биохимических анализах рекомендовано проведение амниоцентеза (забор околоплодной жидкости во время пункции для дальнейшего исследования) или кордоцентеза (забор пуповинной крови). Однако, в связи с инвазивностью метода, необходимо согласие беременной женщины на проведение данного исследования.
Патология матки
В частности, миома матки, изменения в следствие предшествующих абортов и выкидышей. На данную причину указывают данные анамнеза и предыдущих УЗИ.
Развитие многоплодной беременности. При такой патологии так же возможно несоответствие полученным значениям КТР данным из таблицы, но это не является патологией.
Объем обследования, необходимый при выявлении отклонения КТР от нормы, индивидуален в каждом случае и определяется не только данными УЗИ, но и данными анамнеза, клиническими данными.
Определение гормонального фона, обследование на наличие инфекций передающихся половым путем, исключение хромосомных заболеваний. Пока проводится обследование, необходимо проводить ультразвуковое исследование в динамике, но нецелесообразно проводить его чаще, чем через 5 дней.
Помимо определения копчико-теменного размера, во время проведения скринингового ультразвукового исследования, определяются и другие важные показатели:
- Наличие сердцебиения и их частота.
- Толщина воротникового пространства (как косвенный маркер синдрома Дауна, оценивается в сроке до 13 недель).
- Желточный мешок, его наличие, толщина (определяется до 12 недель, важен в диагностике не развивающейся беременности).
- Хорион, его расположение и структура (информация о расположении плаценты в последующем, наличии внутриутробной инфекции и резус-конфликта).
Нормы всех этих показателей так же зависят от срока и имеют установленные табличные значения.
Таблица зависимости копчико-теменного размера плода от срока беременности
| КТР, мм | Срок беременности, неделя + день | КТР, мм | Срок беременности, неделя + день | КТР, мм | Срок беременности, неделя + день |
| 3 | 4 | 26 | 9 + 6 | 61 | 13 + 1 |
| 4 | 5 + 2 | 27 | 10 | 62 | 13 + 2 |
| 5 | 6 + 1 | 28 | 10 + 1 | 63 | 13 + 2 |
| 6 | 6 + 3 | 30 | 10 + 2 | 64 | 13 + 3 |
| 7 | 6 + 5 | 31 | 10 + 3 | 65 | 13 + 3 |
| 8 | 6 + 6 | 32 | 10 + 4 | 66 | 13 + 4 |
| 9 | 7 | 33 | 10 + 5 | 67 | 13 + 4 |
| 10 | 7 + 2 | 34 | 10 + 6 | 68 | 13 + 5 |
| 11 | 7 + 3 | 36 | 11 | 69 | 13 + 5 |
| 12 | 7 + 5 | 38 | 11 + 1 | 70 | 13 + 5 |
| 13 | 7 + 6 | 39 | 11 + 2 | 71 | 13 + 6 |
| 14 | 8 + 1 | 41 | 11 + 3 | 72 | 13 + 6 |
| 15 | 8 + 2 | 42 | 11 + 4 | 73 | 14 |
| 16 | 8 + 3 | 44 | 11 + 5 | 74 | 14 |
| 17 | 8 + 4 | 46 | 11 + 6 | 75 | 14 + 1 |
| 18 | 8 + 5 | 47 | 12 | 76 | 14 + 1 |
| 19 | 8 + 6 | 49 | 12 + 1 | 77 | 14 + 2 |
| 20 | 9 | 50 | 12 + 2 | 78 | 14 + 3 |
| 21 | 9 + 1 | 51 | 12 + 3 | 80 | 14 + 3 |
| 22 | 9 + 2 | 53 | 12 + 4 | 82 | 14 + 4 |
| 23 | 9 + 3 | 55 | 12 + 5 | 84 | 14 + 5 |
| 24 | 9 + 4 | 58 | 12 + 6 | 87 | 14 + 6 |
| 25 | 9 + 5 | 59 | 13 | 88 | 15 |
| КТР, мм | Срок беременности, неделя + день |
| 3 | 4 |
| 4 | 5 + 2 |
| 5 | 6 + 1 |
| 6 | 6 + 3 |
| 7 | 6 + 5 |
| 8 | 6 + 6 |
| 9 | 7 |
| 10 | 7 + 2 |
| 11 | 7 + 3 |
| 12 | 7 + 5 |
| 13 | 7 + 6 |
| 14 | 8 + 1 |
| 15 | 8 + 2 |
| 16 | 8 + 3 |
| 17 | 8 + 4 |
| 18 | 8 + 5 |
| 19 | 8 + 6 |
| 20 | 9 |
| 21 | 9 + 1 |
| 22 | 9 + 2 |
| 23 | 9 + 3 |
| 24 | 9 + 4 |
| 25 | 9 + 5 |
| КТР, мм | Срок беременности, неделя + день |
| 26 | 9 + 6 |
| 27 | 10 |
| 28 | 10 + 1 |
| 30 | 10 + 2 |
| 31 | 10 + 3 |
| 32 | 10 + 4 |
| 33 | 10 + 5 |
| 34 | 10 + 6 |
| 36 | 11 |
| 38 | 11 + 1 |
| 39 | 11 + 2 |
| 41 | 11 + 3 |
| 42 | 11 + 4 |
| 44 | 11 + 5 |
| 46 | 11 + 6 |
| 47 | 12 |
| 49 | 12 + 1 |
| 50 | 12 + 2 |
| 51 | 12 + 3 |
| 53 | 12 + 4 |
| 55 | 12 + 5 |
| 58 | 12 + 6 |
| 59 | 13 |
| КТР, мм | Срок беременности, неделя + день |
| 61 | 13 + 1 |
| 62 | 13 + 2 |
| 63 | 13 + 2 |
| 64 | 13 + 3 |
| 65 | 13 + 3 |
| 66 | 13 + 4 |
| 67 | 13 + 4 |
| 68 | 13 + 5 |
| 69 | 13 + 5 |
| 70 | 13 + 5 |
| 71 | 13 + 6 |
| 72 | 13 + 6 |
| 73 | 14 |
| 74 | 14 |
| 75 | 14 + 1 |
| 76 | 14 + 1 |
| 77 | 14 + 2 |
| 78 | 14 + 3 |
| 80 | 14 + 3 |
| 82 | 14 + 4 |
| 84 | 14 + 5 |
| 87 | 14 + 6 |
| 88 | 15 |
Копчико-теменной размер плода практически не зависит от индивидуальных особенностей беременной женщины (пол, возраст, национальность). Если выявляются при определении данного показателя колебания, превышающие значительно норму (более одной недели либо более 7-10 мм), это может быть признаком патологического течения беременности.
Так, увеличение КТР может быть вызвано резус-конфликтом между матерью и эмбрионом, субкомпенсированным течением сахарного диабета у беременной. Увеличение так же является ранним признаком развития крупного плода. Этот критерий помогает в дальнейшем скорректировать тактику ведения такой беременности: ограничение необоснованного приема метаболических препаратов и поливитаминных комплексов.
Развитие и строение
Рост плодного яйца начинается с момента зачатия. Оплодотворенная яйцеклетка начинает движение по маточной трубе, во время которого происходит дробление клеток. Проделывая путь до матки, оплодотворенному дробящемуся яйцу необходимы питательные вещества и кислород, поэтому спустя неделю сверху начинает образовываться хорион, который впоследствии трансформируется в плаценту.
Поверхность хориона имеет ворсинки, которые помогают формированию прикрепиться к матке. В дальнейшем эти ворсинки содержаться только в месте имплантации образования в стенку матки. Остальная часть структуры теряет ворсинки и остается гладкой. Хорион обеспечивает плод всеми жизненно важными функциями, одна из которых — защита от инфекций.
Спустя двадцать дней после менструации на аппаратном обследовании можно разглядеть желточный мешок, который призван обеспечить плод питательными элементами. Наличие желточного мешка в плодном яйце не гарантирует нормальную беременность, однако если его нет, то это указывает на патологию. Внутри оболочки, окру
жающей зародыш, имеется амнион – полый мешок, вырабатывающий оптимальную среду и околоплодные воды для развития ребенка.

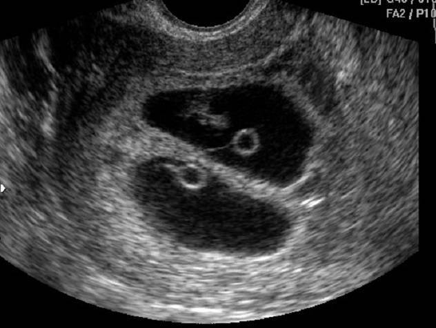
Нередко во время обследования врач-узист может обнаружить второе плодное яйцо. В этом случае женщину можно поздравить, так как у нее будет рождение двойни. Такая беременность развивается, когда происходит одновременное оплодотворение двух яйцеклеток или развитие двух зигот из одного и того же яйца.
Если женщина ожидает двойню, то плодное яйцо в момент деления может сформировать одну или две плаценты.
Если момент прикрепления яйца к матке происходит после 8-13 суток от дня оплодотворения, то формируются 2 плода и одна плацента на двоих. Это значит, что оба плода будут развиваться в одном плодном пузыре. Если же деление происходит ранее этого срока, то каждый эмбрион будет развиваться в своем плодном яйце.
Размеры по неделям
Размеры плодного яйца на начальных сроках беременности являются главным параметром, по которому врач может судить о том, как и развивается малыш. Зародыш еще очень мал, измерить его и отдельные его части не представляется возможным, но вот темпы роста плодного яйца – очень информативный показатель развития беременности в целом.
Размеры плодного яйца говорят не только о развитии, но и соответствии определенным акушерским срокам. Дело в том, что в самом начале беременности, когда эмбрион еще только появляется, нет большой разницы в росте и весе. Это значительно позже дети в материнской утробе начинают расти по-разному, в соответствии со своей генетической программой (одни – высокие, другие – маленькие). А пока все малыши развиваются практически идентично, поэтому темпы роста плодного яйца почти одинаковые.
Погрешности и диапазон значений в диагностических таблицах связаны с вероятностью поздней имплантации, а также с другими факторами, которые могут отразиться на размерах плодного яйца, но не представляют угрозы развитию малыша.


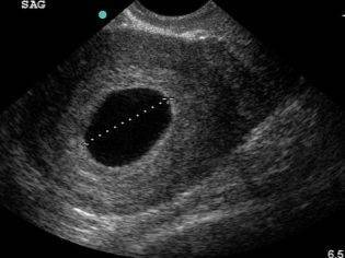
Для измерения используется специальная методика. Диагност УЗИ так прокладывает прямую визуальную линию через плодное яйцо, которое видит на мониторе, чтобы концы отрезка располагались на противоположных друг другу точках внутренней оболочки плодного мешка. Этот размер носит название СВД – средний внутренний диаметр.
Этот размер определяется самым первым. Затем к нему добавляется копчико-теменной размер самого зародыша. Немаловажным также считается размер желточного мешочка.


Нормы роста можно увидеть в таблице.
Таблица соответствия размеров плодного яйца.
|
Акушерский срок, недели |
СВД, мм |
КТР, мм |
Желточный мешочек, мм |
Площадь плодного яйца, мм^2 |
Объем плодного яйца, мм^3 |
|
5 |
5-18 |
1-2 |
— |
245 |
2187 |
|
6 |
13-22 |
4-5 |
3,0 |
363 |
3943 |
|
7 |
21-24 |
5-17 |
4,0 |
432 |
6912 |
|
8 |
29-30 |
10-25 |
4,5 |
675 |
13490 |
|
9 |
33-36 |
16-36 |
5,0 |
972 |
16380 |
|
10 |
39-44 |
24-49 |
5,1 |
1210 |
31870 |
|
11 |
47-51 |
34-58 |
5,5 |
1728 |
55290 |
|
12 |
56-57 |
42-73 |
6,0 |
2350 |
87080 |
|
13 |
63-65 |
51-87 |
5,8 |
3072 |
131070 |
Таким образом, считается совершенно нормальным, если в 5 акушерских недель – через неделю после начала задержки, у женщины будет обнаружено плодное яйцо, размеры которого будут 4-5 мм. А в 7 акушерских недель совершенно нормальным будет плодное яйцо размером 20 мм. Обнаружение несоответствия размеров срокам может говорить об определенных патологиях. Но под отставанием следует понимать существенное отклонение, например, при сроке беременности в 7 недель размер плодного мешка – 4-5 мм. Давайте рассмотрим, какими бывают патологии плодного яйца и каков прогноз.


Что видно на УЗИ?
Нормальные сроки визуализации мешочка при трансвагинальном методе исследования – 1,5-3 месяц вынашивания. Допустимое отклонение две недели (то есть, 1 – 3,5 месяца). Отсутствие визуализации мешка говорит о том, что эмбрион либо уже погиб, либо погибнет, так как нежизнеспособен. Наиболее информативны исследования 6-7 недели, 12-14 недели.
В ходе ультразвукового исследования специалист оценивает следующие характеристики органа:
- Размер.
- Форма.
- Расположение.
На 3-3,5 месяце образование достигает максимальных размеров, а последующие ультразвуковые исследования способны не отображать его вовсе.

Меньше нормы
Длина и ширина органа у большинства пациенток совпадают со стандартными величинами. Отклонением считается несоответствие размеров матки сроку беременности на 2 и более сантиметров.
Существует ряд причин, по которым орган растает медленнее, чем положено:
- небольшой размер плода;
- несостоявшийся выкидыш;
- неверно установленный срок зачатия;
- недостаток амниотических вод;
- патологии внутриутробного развития.
Меньший размер матки характерен для женщин, вынашивающих беременность дольше срока, страдающих поздним гестозом. Особенно опасно на последних неделях гестации маловодие. Такое состояние может закончиться преждевременными родами, привести к умственному и физическому отставанию ребенка.
На ранних сроках, когда плод подвижен, величина матки при осмотре на кресле может оказаться меньше фактической. Например, в 10–11 недель соответствовать 5- или 7-недельным размерам. Если малыш постоянно вертится, сгибается и поворачивается, нетрудно ошибиться. Определить действительный срок поможет УЗИ.
Желточный мешок норма по неделям таблица

Специальный орган, формирующийся на начальных стадиях беременности, и со временем атрофирующийся до конца третьего триместра, называется желточный мешочек. Он напоминает форму кольца и имеет тонкие стенки. Размеры желточного мешка с пятой по двенадцатую неделю должны быть 3-6 миллиметров в диаметре.
Желточный мешок не визуализируется:
Например, дамы приводят результаты УЗИ, при котором, например, ни эмбрион, ни желточный мешок – не визуализируются (то есть, не видны). При этом, плодное яйцо присутствует. К сожалению, подобная ситуация называется «анэмбриония» — то есть, беременность не состоялась.
Желточный мешок увеличен:
В других случаях, речь наоборот идет о том, что желточный мешок больше нормы. Он-лайн консультант успокоил женщину, обратившуюся с подобной проблемой, объяснив, что о какой-то специфической патологии это не говорит и может быть индивидуальной особенностью. Но, конечно, необходимо контролировать развитие ситуации.
Вообще, каждая будущая мать должна представлять себе, какие процессы протекают в ее организме на той или иной стадии беременности или менструального цикла.
Следует знать, как могут повлиять некоторые лекарства, стрессы, пищевые продукты на состояние репродуктивной системы и плода. Вовремя проводить лечение патологий, которые могут осложнить беременность.
Но важнее всего – найти того специалиста, который реально, а не формально, возьмет на себя ответственность за ваше здоровье, вынашивание ребенка и удачные роды.
Пожалуйста войдите на сайт, чтобы оставлять комментарии
Что такое желточный мешок при беременности?
Многие будущие мамочки, попадая в кабинет ультразвукового исследования, слышат про желточный мешок при беременности. Однако не всегда врач УЗИ дает полные ответы на все вопросы беременных дам.
Что такое желточный мешок при беременности -не путать с желтым телом
Еще до зачатия в одном из яичников женщины формируется яйцеклетка, имена она, соединившись со сперматозоидом, даст новую жизнь -жизнь вашего ребенка.
В середине менструального цикла мешочек или доминантный фолликул, содержащий созревшую яйцеклетку, лопается, и яйцеклетка отправляется в матку через фаллопиевы трубы. А на месте лопнувшего мешочка происходит образование желтого тела, цель которого -выработка прогестерона.
снижают риск прерывания беременности, самопроизвольного аборта), подготавливают молочный железы к лактации, снижают артериальное давление и подавляют иммунную систему, что обеспечивает лояльное отношение материнского организма к новой, активно развивающейся жизни.
Желточный мешок, что же это такое?
После зачатия, на 15-16 день беременности формируется желточный мешок. Являясь временным органом малыша, желточный мешок при беременности представляет собой придаток, находящийся на брюшной стороне эмбриона.
Он содержит запас желтка, необходимого для развития.
Первое время (до начала функционирования собственных органов плода) он выполняет функции печени, селезенки, а также является поставщиком первичных половых клеток, активно участвует в формировании иммунитета и в обменных процессах.
Значение размеров желточного мешка
Согласно проведенным исследованиям, увеличение или, наоборот, -уменьшение желточного мешка, а также неправильная форма нередко сопровождаются замершей беременностью
Именно поэтому так важно оценить размеры желточного мешка при беременности
При ультразвуковом исследовании на ранних сроках беременности именно желточный мешок является важным диагностическим критерием. Это обусловлено тем, что размеры желточного мешка в первые девять недель беременности значительно превышают размеры ребенка.
Желточной мешок при беременности начинает визуализироваться с 5,5 недели. При нормально развивающейся беременности на сроке 5-10 недель размер желточного мешка должн быть меньше 5,5 миллиметров.
С 8 по 12 недели беременности размер желточного мешка должен быть более 2 миллиметров.
Редукция желточного мешка
Однако бывают случаи, когда редукция (распад) его задерживается, и происходит его кистозное перерождение. Этот факт не должен вызывать большого беспокойства при условии, что все остальные показатели скринингового УЗИ оказались в норме.
Если же беспокойство вас не покидает, можно сделать УЗИ еще раз -примерно через 2-3 недели.
Лечение патологии
Во время лечения патологии врач ставит две цели: поиск и устранение причины аномального увеличения органов и нейтрализация его последствий для новорожденного. При легкой изолированной форме, которая не вызвана хромосомными аномалиями, будущей маме показана медикаментозная терапия: прием мочегонных препаратов, витаминов, инъекции лекарств, предотвращающих гипоксию и плацентарную недостаточность.
В послеродовом периоде грудничкам проводят несколько курсов массажа, направленного на снятие мышечного тонуса, укрепления, устранения неврологических симптомов. Обязателен контроль со стороны невролога в первые недели, месяцы и годы жизни. Тяжелые формы патологии требуют хирургического лечения после рождения младенца.
Прогноз для ребенка при тяжелой форме, хромосомных аномалиях неблагоприятен.
Что такое плодное яйцо
Плодное яйцо — это зародышевые оболочки и зародыш. Данный период беременности является ее первой стадией развития. А начинается все со слияния двух клеток – мужской и женской.
Дальше оплодотворенная яйцеклетка активно начинает делиться, вначале на две части, потом на четыре и так далее. Количество клеток, как и размер плода, растет постоянно. И вся группа клеток, которые продолжают процесс деления, осуществляет передвижение по маточной трубе к зоне своей имплантации. Данная группа клеток и является плодным яйцом.
Достигнув своей цели, плодное яйцо прикрепляется к одной из стенок матки женщины. Это происходит через неделю после оплодотворения. До этого времени плодное яйцо получает питательные вещества из самой яйцеклетке.
Плодное яйцо 2 недели после внедрения в полость матки, осуществляет питание набухшей слизистой этого детородного органа, который уже подготовлен к процессу развития и питания плода до времени образования плаценты.
Детское место, или плацента, создается из внешней оболочки плодного яйца на 3 неделе, которое в это время уже густо покрыто ворсинками. Данными ворсинками в месте закрепления плодного яйца уничтожаются небольшой участок слизистой оболочки матки, а также сосудистые стенки. Потом они заполняют его кровью и осуществляют погружение в подготовленное местечко.
Вообще, плодное яйцо является самым первым признаком нормально текущей беременности. Его можно рассмотреть на ультразвуковом исследовании уже после двух недель задержки менструации. Обычно в данном случае видно плодное яйцо 3-4 недели. Эмбрион же становится заметен только на 5 неделе беременности. Однако если врач диагностирует отсутствие эмбриона в плодном яйце 5 недели– другими словами пустое плодное яйцо, тогда УЗИ через пару недель повторяют вновь.
Обычно в такой ситуации случае на 6-7 неделе плод и его сердцебиение начинают визуализироваться. Когда же плодное яйцо в 7 недель по-прежнему является пустым, это свидетельствует о неразвивающейся беременности
Помимо данного осложнения, на раннем сроке беременности могут появиться и другие – неправильное расположение плодного яйца, его неправильная форма, отслойки и прочие.
Именно по этой причине важно пройти ультразвуковое обследование как можно раньше, чтоб можно было изменить ситуацию, в случае, если она поддается коррекции. Поскольку в первом триместре (плодное яйцо до 10 недели) велика вероятность самопроизвольного выкидыша, отслойки и других патологий
Однако достаточно о грустном.
Плодное яйцо на 6 неделе и до этого срока беременности имеет овальную форму. И на ультразвуковом исследовании обычно производится оценивание внутреннего его диаметра – СВД плодного яйца. Так как размер плодного яйца 7 недель или на другом сроке беременности является величиной вариабельной, то есть погрешность в выявлении срока беременности по этому фетометрическому показателю.
В среднем подобная погрешность составляет 10 дней. Срок беременности обычно определяется не только по данному показателю, но также используется значения копчико-теменного размера плода и прочие показатели, которые также очень важны
Что означает желтое тело при беременности
Как и желточный пузырь, этот орган возникает в самом начале беременности и присутствует временно. Образование появляется сразу после того, как готовая к оплодотворению женская клетка покидает фолликул. Материалом для формирования желтого тела становятся гранулезные клетки лопнувшего фолликула.
Если встреча женской и мужской клеток прошла успешно, желтое тело начинает развиваться при содействии хорионического гонадотропина. Эта структура живет на протяжении 10 — 12 недель после зачатия, а рассасываться начинает, как только созреет плацента. Основная задача желтого тела — снабжение материнского организма прогестероном, при дефиците которого само существование беременности находится под вопросом. Также при участии этого гормона блокируются процессы, запускающие менструацию. Позже за сохранность маленького человечка будет отвечать плацента, поэтому необходимости в дополнительной защите больше не будет.

Гестационный мешок и его роль в развитии эмбриона
Желточный мешок представляет собой мембранную оболочку, прикрепленную к эмбриону на вентральной его части. Это образование обеспечивает раннее питание плода. Гестационный мешок функционирует в качестве развития сердечно-сосудистой системы человеческого эмбриона до начала внутренней циркуляции.
Плодное яйцо является единственной доступной структурой, которая может быть использована для определения существования внутриматочной беременности до тех пор, пока невозможна идентификация эмбриона. Желточный мешок при беременности, если он нормально развивается, виден на ранних сроках при помощи ультразвука. Определенный на пятой неделе гестационный мешок – это критически важный ориентир при мониторинге ранней беременности.
Нормальное функционирование желточного мешка имеет значение в начале эмбриональной циркуляции. Транспортировка крови к стенкам мешочка происходит через примитивную аорту. Ее циркуляция проходит по широкой сети капилляров и возвращается через желточную вену в трубчатое сердце эмбриона. Посредством такой циркуляции поглощаются питательные вещества из желтка и переносятся к зародышу.
- На каком сроке показывает УЗИ беременность и пол
- Первое УЗИ при беременности: во сколько недель
В начале пятой недели вид желточного мешка представляет собой небольшой грушевидный пупочный пузырек, открывающийся в пищеварительный тракт эмбриона длинной узкой трубкой. Она называется желточным протоком. Как правило, желточный проток полностью закрывается вследствие разрастания ткани на протяжении 7-й недели. Впоследствии из него формируется желудочно-кишечный тракт ребенка.
УЗИ различает желточный мешочек как небольшое овальное тело, диаметром в пределах 1-6 мм. Когда развитие плода внутри утробы матери подходит к окончанию 11-й недели, функционирование желточного мешочка прекращается, он уменьшается в размерах, редуцирует и представляет собой кистоподобное образование у пуповинного основания. Мембранные ткани, из которых состоит плодный мешок, обеспечивают гемопоэтическую, экскреторную, иммунорегуляторную и синтетическую функции, а также обменные процессы, пока у эмбриона не разовьются собственные органы и не начнут самостоятельное функционирование.
Если процесс редуцирования плодного мешка развивается преждевременно, до того как сформируются печень, селезенка, ретикуло-эндотелиальная система будущего малыша, то может произойти выкидыш или замирание плода. Таким образом, можно выделить три основных стадии развития желточного мешка:
- Первичный желточный мешок – пупочный пузырек, образованный в течение второй недели гестации.
- Вторичный – к концу второй недели из первичного мешка в результате деления клеток гипобласта выделяется новая полость, стенки которой преобразуются в двухслойные. Тем временем клетки стенок первичного желточного мешка дегенерируют.
- Окончательный желточный мешок формируется в течение четвертой недели беременности во время развития внутренних органов эмбриона. Часть желтка входит в пищеварительный канал эмбриона. Оставшаяся часть является окончательным желточным мешком.
Роль желточного мешка
Желточный мешочек – временный (провизорный) орган, однако без него невозможно нормальное течение беременности и развитие эмбриона. На ранних стадиях размеры желточного мешка превышают размер эмбриона и амниотической полости. Желточный мешок активно растет с 6 по 12 неделю гестации, после чего постепенно уменьшается в размерах и полностью исчезает.
На 18-19 день от зачатия желточный мешок становится очагом кроветворения. В его стенках образуются участки эритропоэза, и формируются первые красные кровяные клетки. В дальнейшем здесь образуется разветвленная сеть капилляров. Первичные эритроциты, выходя из желточного мешка, попадают в кровеносную систему эмбриона и разносятся с током крови по всему организму.
С 28 дня от момента зачатия желточный мешок начинает выработку первичных половых клеток эмбриона. В дальнейшем половые клетки мигрируют из желточного мешка и попадают к закладкам гонад (половых желез). 4-5 неделя беременности – важный этап в развитии половой системы плода. Любые негативные воздействия в этот период (инфекции, облучение, прием лекарственных препаратов) могут нарушить формирование половых желез эмбриона и стать причиной бесплодия.
Со 2 по 6 неделю беременности желточный мешок выполняет роль печени для эмбриона. В стенках желточного мешка синтезируются важные белки и ферменты, необходимые для нормального развития всего организма. В частности, здесь вырабатывается АФП (альфа-фетопротеин). В кровеносной системе плода АФП связывается с ПНЖК (полиненасыщенными жирными кислотами) и переносит их ко всем клеткам и тканям. Также АФП подавляет иммунную реакцию на вновь синтезируемые белки, позволяя метаболическим процессам проходить в нужном ритме.
Другие функции желточного мешка:
- регуляция иммунной системы плода;
- синтез гормонов;
- создание условий для адекватного обмена веществ;
- выведение продуктов обмена.
Все свои функции желточный мешок выполняет до тех пор, пока в организме плода не сформируются основные внутренние органы и не возьмут на себя эту работу. После 12 недель необходимость в желточном мешке отпадает. К началу II триместра от желточного мешочка остается лишь небольшое кистозное образование у основания пуповины.
Ощущения при росте органа
Увеличение размеров матки происходит медленно и незаметно, поэтому беременная женщина обычно ничего не чувствует. Лишь в 1 триместре могут появиться тянущие ощущения, вызванные размягчением и натяжением связок.
Боли, как правило, возникают при слишком быстром увеличении матки, отмечается дискомфорт и в случае рубцевания на стенках органа после прошлых беременностей. При развитии любых неприятных симптомов следует обратиться к гинекологу.
Большие неудобства доставляет рост матки после 4–5 месяца беременности. Увеличивающийся живот мешает наклоняться, сложно найти удобное положение. Внутренние органы под действием матки сдавливаются и смещаются, появляются изжога, метеоризм, частые позывы в туалет. Сжимание прямой кишки приводит к запорам. Из-за давления выросшего плода на диафрагму появляются затруднения с дыханием, одышка.
В конце 2 триместра у многих женщин наблюдается изменение походки — движения становятся размереннее, туловище отклоняется назад, ноги ставятся шире. Причина подобной трансформации в смещении центра тяжести.
Измерение длины и ширины матки помогает вовремя обнаружить отклонения. Однако не стоит заниматься самодиагностикой и волноваться из-за незначительных нарушений. Помните, каждая беременность уникальна и протекает по индивидуальному сценарию.










































































































