Исследования для выявления показателя

Лечащий врач может направить на общий анализ крови, когда у пациента длительное время наблюдается лихорадка, боль и ломота в суставах, увеличение лимфатических узлов. Забор биологической жидкости производят из пальца, реже – из вены. Специфической подготовки не требуется. Достаточно не употреблять пищу за 6-8 часов до сдачи анализа. Как правило, результаты лабораторного исследования будут готовы на следующий день.
Внимание!
Вовремя проведенная диагностика поможет быстро выявить заболевание и начать лечение. В результате выздоровление наступит быстрее.
На основе полученных результатов лечащий врач разрабатывает тактику терапии, учитывая возраст пациента, особенности его организма. Для поиска конкретного патогенного микроорганизма назначают следующие методы с высокой степенью достоверности:
- иммуноферментный анализ (ИФА) – метод диагностики инфекционных и эндокринных патологий, основанный на реакции антиген-антитело;
- полимерная цепная реакция (ПЦР) – современный, точный, информативный метод, позволяющий обнаружить возбудителя инфекции в организме.
Но чаще всего обычного анализа из пальца бывает достаточно для диагностики.
Как проводится исследование
Выявление повышенного количества плазматических клеток требует повторного проведения анализа, при необходимости проводится гистология.
Сам анализ фактически безболезнен и не занимает много времени:
- для забора материала делается прокол безымянного пальца скарификатором;
- кровь собирается в специальную колбочку и наносится на предметное стекло;
- количество клеток подсчитывается под микроскопом;
- полученный результат передается на расшифровку лечащему врачу.

Специалист, определив причину появления плазмоцитов, назначит нужный курс лечения. Чаще всего одновременно с повторным исследованием назначается комплексное обследование пациента для досконального выявления причин отклонений и нахождения верного средства для их устранения.
После выявления плазмоцитов врач назначит дополнительное обследование, которое определит истинную причину их повышения. Но главным исследованием все же остается анализ биоматериала, о котором вы можете подробней узнать из видео:
Еще:
Особенности В-лимфоцитов как элемента иммунной системы, причины повышения и снижения этого показателя
Какие показатели можно считать нормой лейкоцитов в крови у детей?
Благодаря клиническому анализу крови ребенка, врач может судить о его здоровье, оценивая множество показателей. Одним из наиболее важных является лейкоцитарная формула, представляющая собой процентное содержание разных типов белых кровяных телец. Среди них присутствуют и плазматические клетки, уровень которых зачастую повышается при воспалении или инфекции. Сколько должно быть таких клеток в норме у ребенка и при каких болезнях они выявляются в повышенном количестве?

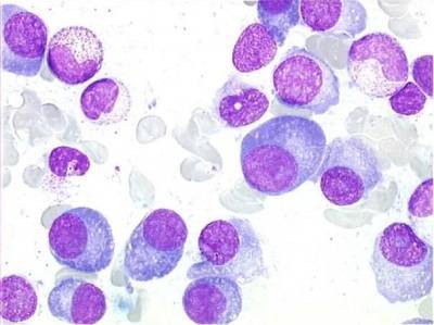
Плазматические клетки под микроскопом
Лечение и профилактика
Профилактической борьбой с любыми болезнями будет здоровый образ жизни. Правильно питание, залог сильного организма. Из рациона рекомендуют исключить жареные, соленые и жирные продукты.
Ежедневно на столе должны быть фрукты, овощи, крупы, белки, чистая вода. Обязательно кушать зелень и ягоды, содержат большое количество витаминов и антиоксидантов. Чем проще еда, тем здоровее организм. Не оставлять организм без физической нагрузки. Зарядка и занятия любым видом спорта, закаляют организм. За счет правильного образа жизни формируется иммунитет. Вирусам сложно атаковать здоровое тело.
Здоровье нельзя оставлять без внимания. Если плазмоциты увеличены, значит, есть причина. Каждую болезнь желательно лечить, а потом сдавать повторные анализы. Не стоит расслаблять и после этого. Вирусы ослабляют организм, и рецидив не будет исключением. Наблюдаться у врача надо не реже чем раз в полгода, тогда здоровье не будет подводить.
Лечение направлено на причину, вызвавшую появление плазмоцитов
Лечение заключается в определении и устранении причины, вызвавшей появление в крови плазматических клеток. В зависимости от факторов, спровоцировавших образование плазмоцитов назначаются препараты:
- противовирусные,
- антибактериальные,
- антибиотики,
- антигистаминные,
- глистогонные,
- витаминные комплексы.
В случае формирования скопления атипичных плазмоцитов, может понадобится лучевая и химиотерапия, применение глюкокортикостероидов, хирургическое вмешательство.
Профилактические меры включают в себя сбалансированное питание, полноценный отдых, отсутствие физических и эмоциональных перенапряжений
Важной составляющей является отсутствие недолеченных заболеваний, во избежание их перетекания в хронические формы

В медицине не существует конкретных мероприятий, которые бы могли предотвращать появление плазматических клеток в крови. Однако, как было сказано выше, высокие показатели напрямую связаны с наличием воспалительного процесса в организме, поэтому для его предупреждения можно использовать следующие рекомендации:
- Своевременно проходить диспансеризацию и иммунизацию.
- Наладить питание, отказавшись от вредных продуктов и фаст-фуда в пользу здоровой пищи.
- Вести активный образ жизни.
- Пить не менее 1,5 л воды в день, что поможет наладить обменные процессы.
- Больше бывать на свежем воздухе.
- Поддерживать организм в период холодов витаминными комплексами.
Наличие плазматических клеток в общем анализе крови

Плазматическая клетка вырабатывается при помощи лимфоцита классификации В. Происходит это в виде реакции в системе организма на внешние факторы и присутствуют в системе всегда. Их место расположения -это селезенка, красный костный мозг, лимфоузлы.
Проведение методики
Вырабатывание таких веществ является основной функцией данных органов. Как правило, выработка происходит в случае образования в системе организма человека воспалительного процесса. Вырабатываются В-лимофицы в виде сигнала для того, чтобы справиться с инфекцией.
Эту команду выдает мозг, затем, когда он получает ответ в виде сигнала с фактом того, что антигены есть в системе организма.
При этом В-лимфоциты проникают в систему, где лимфатический узел и происходит их трансформация в плазмоциты, которые необходимы для того, чтобы справиться с этой проблемой.
Затем происходит выработка антигенов для борьбы с инфекционным процессом. Плазмоциты живут не более пяти дней, но есть такие типы, у которых способность к большей жизни.
Такие виды остаются в системе и ожидают развитие воспалительного процесса. Данное вещество находится в системе костного мозга до тех пор, пока не произойдет новое воспаление фаз, при которой плазмоцит ожидает воспаление.
Фаза бывает длительной, иногда она там пребывает до четырех лет.
В результате этого и производится иммунитет по отношению ко многим инфекционным процессам. Когда у человека нормальное состояние, то при процедуре в виде анализа не обнаружатся плазмоциты.
Норма показателя СОЭ у детей2685
Такая клетка иногда проявляется у детей, а у взрослых в здоровом состоянии организма их не должно быть.
Как правило, такие изменения происходят у пациентов, которые недавно перенесли, или не долечились от заболевания. Это происходит, при:
- раковых заболеваниях;
- простуде;
- образовании мононуклеоза;
- дисбактериозе;
- аутоиммунных проблемах;
- заболеваниях с вырабатыванием организма плазмоцита.
Когда в анализе выявляется наличие нескольких клеток, то это не повод для беспокойства. Когда их более трех, то специалист назначает правильный комплекс лечебных мероприятий. Назначается комплексная диагностика для определения состояния организма.
Зачастую, плазматическая клетка образуется в организме после простудных заболеваний. Плазматическая клетка выявляется, когда проводится общий анализ в кровяной системе.
Это основная диагностика в плазме, при которой выявляют различные заболевания, а также состояния системы организма.
Исследования для выявления показателя
Когда проводят анализ и комплексное исследование, то результат тестирования передают из лаборатории специалисту, который наблюдает пациента.
Медик качественно расшифровывает результаты, выясняет в порядке ли показатели нормы и что необходимо предпринять в случае отклонения показателя. Назначает нужное лечение для снижения количества плазмоцита. А затем проводит лечение болезни, которая выявлена.
Когда обнаруживаются плазмоциты в крови, то это основная причина того, что в организме прогрессировал инфекционный процесс.
Своевременные меры по лечению избавляют от проблемы со здоровьем. Когда в организме образовался инфекционный мононуклеоз, то тоже повышается уровень плазмоцита.
Мононуклеоз без лечения необходимого вида лекарственных средств образует тяжелые процессы в системе, которые пагубно влияют на здоровье человека.
Что показывает и как провидится анализ крови из вены?1594
При помощи такой процедуры, как анализ крови выявляют возможные развития злокачественных процессов, опухоль. Из-за содержания плазматической клетки, это помогает своевременно устранить заболевание.
Данная клетка начинает с ней бороться, и происходит синтезирование антител в больших количествах. Все это распознается легко при проведении анализа.
Еще по теме «Показатели анализа крови у детей»:
Аллергия на пылевого клеща
Детская медицина. Здоровье ребенка, болезни и лечение, поликлиника, больница, врач Аллергия на пылевого клеща. Сегодня меня убили результатом анализа крови сына (2,9 лет). На саму пыль — двойка Год назад показатели были единички, на пыль — нуль С конца декабря у…
Температура 5 дней и нормальный анализ крови
5 дней держится температура в пределах 38, болит горло, вялость.
Сдали сегодня анализ, СОЭ 4, повышены только моноциты, 13 при максимуме 9.
Не наш анализ?
Конфликт по группе крови, высокие титры
Беременность и роды: зачатие, анализы, УЗИ, токсикоз, роды, кесарево сечение, придание. Всю беременность опасалась резус- конфликта, а вылез к 32 неделе конфликт по группе крови. У меня 1-, у мужа 2+, у девицы, судя по всему 2-. Возможно и раньше был, но анализов не…
Расшифровка анализа крови ребенка 3,5 года
Расшифровка анализа крови. Основные показатели крови у детей. Общий анализ крови : чем болеет ребенок ? Расшифровка анализа крови. Основные показатели крови у детей. Версия для печати. ребёнка ,12 лет ,колличество лейкоцитов ровно трём .что делать?
А группа крови у деток в карте написана
Врачи, поликлиники. Ребенок от 3 до 7. Воспитание, питание, режим дня, посещение детского сада и взаимоотношения с воспитателями у моих всех В выписках из роддома написана группа крови ребенка и группа крови матери, в тех которые в медкарту вклеиваются в самом начале.
Анализ крови 2-летнего ребёнка.
Посмотрите анализ крови двухлетнего ребёнка.
Нейтрофилы- 24,5(норма 33-61)
Лимфоциты -62,2(норма 33-55)
Эозинофилы-4,4-норма
Тромбоциты-329-норма
Моноциты-8,7-норма
Базофилы-0,2-норма
СОЭ-14(норма до 10)
Что скажете?
анализы в инвитро
Анализы, исследования. Детская медицина. Здоровье ребенка, болезни и лечение, поликлиника, больница, врач, прививки. Во-первых, действительно за неделю показатели крови могут сильно измениться. Во-вторых, не знаю, какой именно показатель вас интересует…
СОЭ 34 это много
Сдали вчера кровь анализ показал СОЭ 34, врач сказала что это очень много и сказала что без антибиотиков не обойтись. Выписала Аугментин, но дочке вроде лучше со вчерашнего дня даже темп нет, только сопли зеленые иногда и подкашливает изредко. Может врач подстраховывается и можно обойтись без антибиотиков.
клинич.анализ крови и мочи
клинич. анализ крови и мочи. Анализы, исследования. Детская медицина. Здоровье ребенка, болезни и лечение, поликлиника, больница Расшифровка общего анализа крови у ребенка : показатели лейкоцитов, эритроцитов, СОЭ. У месячного ребенка норма гемоглобина 115-175…
В чем причина густой крови у ребенка?
Анализы, исследования. Детская медицина. Здоровье ребенка, болезни и лечение, поликлиника, больница, врач, прививки. Пошли сдавать анализ крови — нам сказали, что очень густая. раньше этого не было. Антибиотики не принимали.
Анализ крови..Подскажите!
Меня очень насторожил повышенный уровень лимфоцитов.Врачи говорят ,что это нормально…Я посмотрела карту ребенка-они во всех анализах крови повышены:53,63,68. И в прошлых всех анализах крови был понижен показатель нейтрофилы сегментоядерные 24-26 (при норме 47-72),один раз был повышен уровень лейкоцитов. Врачи всегда говорили,что анализы нормальные.Это действительно нормально, когда лейкоциты повышены, а нейтрофилы сегментоядерные понижены..
субфебрильная температура
субфебрильная температура. Диагноз. Детская медицина. Здоровье ребенка, болезни и лечение, поликлиника, больница, врач, прививки. Что значит, если в общем анализе крови повышены эозинофилы ? Да, у нас сильный атопич. дерматит, но кровь на аллергены в норме…
анализ крови — в чем разница?
подскажите, пожалуйста, есть ли разница между клиническим анализом крови и анализом крови с лейкоформулой? и как проверить какой же анализ нам сделали и какие должны быть результаты и что такое эта лейкоформула и как ей читать?
Анализ крови на аллергены
Анализ крови на аллергены. Аллергия. Детская медицина. Здоровье ребенка, болезни и лечение, поликлиника, больница, врач Прочитала ниже сообщения на тему бесполезности анализа крови для определения аллергенов и расстроилась. Неделю назад как раз получили…
Анализ крови при отите?
Анализ крови при отите?. Болезни. Детская медицина. Анализ крови при отите? Врач рекомендовала, но насколько он нужен? Чувствует себя реббенок отлично, анализ мочи мы сдадим.
Норма инсулина
Анализ крови на инсулин действительно делают, ставя глюкозо-толерантный тест., там много показателей, от 84(+ -9) до 401 (+ -67) ммоль\литр. Большое спасибо за ответ!Извините, что ввела Вас в заблуждение! Ребенок (почти 4 года) сдал анализ крови на инсулин, результат — 11.
Дополнительные методы диагностики
При выявлении повышенного количества плазмоцитов в крови ребенка следует пройти дополнительное обследование. Для этого необходимо обратиться к педиатру с результатами анализов. Расскажите ему о перенесенных заболеваниях и имеющихся жалобах. На основе полученных данных врач примет решение о дальнейших действиях.
Чтобы установить конкретного возбудителя, он может назначить анализ крови по одному из следующих методов:
ИФА. Метод иммуноферментного анализа, позволяющий выявлять вещества белковой природы с помощью реакции «антиген-антитело». Этот анализ назначается при подозрении на конкретное заболевание. В лабораторных условиях в пробы крови добавляются антитела, соответствующие предполагаемому возбудителю. При возникновении реакции проба окрашивается в определенный цвет, по интенсивности которого и делается вывод о результатах анализа.
ПЦР. Метод полимеразной цепной реакции, при котором в пробы крови добавляются особые ферменты. Они создают большое количество копий фрагментов ДНК и РНК возбудителя, которые затем работники лаборатории сверяют с базой вирусов. Выявляется его тип и концентрация. Исследование проводится с помощью прибора, называемого амплификатором. Помещаемые в него пробирки с пробами крови периодически нагреваются и охлаждаются, чтобы вызвать процесс репликации. От температурного режима зависит точность результата. Этот анализ сложнее и дороже ИФА, поэтому назначается лишь в тех случаях, когда нет подозрения на конкретный возбудитель.
Когда диагноз поставлен, врач назначает комплексное лечение. Помните: чем раньше заболевание было диагностировано, тем проще и дешевле его вылечить. При любом подозрении на болезнь сдайте кровь на общий анализ. Эта процедура простая и не требует предварительной подготовки. Сдача материала производится утром натощак. Беспокоиться раньше времени не стоит – причиной повышенного содержания плазматических клеток может быть банальная простуда.
Исследования для выявления показателя
Когда проводят анализ и комплексное исследование, то результат тестирования передают из лаборатории специалисту, который наблюдает пациента. Медик качественно расшифровывает результаты, выясняет в порядке ли показатели нормы и что необходимо предпринять в случае отклонения показателя. Назначает нужное лечение для снижения количества плазмоцита. А затем проводит лечение болезни, которая выявлена. Когда обнаруживаются плазмоциты в крови, то это основная причина того, что в организме прогрессировал инфекционный процесс.
Когда расшифровывается результат анализа, то специалист назначает прохождение комплексной диагностики для того, чтобы выяснить точную причину аномального процесса. Также важным моментом является то, что врач проверяет признаки такого заболевания, как корь, краснуха, менингит, лейкоз. Своевременные меры по лечению избавляют от проблемы со здоровьем. Когда в организме образовался инфекционный мононуклеоз, то тоже повышается уровень плазмоцита. Мононуклеоз без лечения необходимого вида лекарственных средств образует тяжелые процессы в системе, которые пагубно влияют на здоровье человека.

При помощи такой процедуры, как анализ крови выявляют возможные развития злокачественных процессов, опухоль. Из-за содержания плазматической клетки, это помогает своевременно устранить заболевание. Плазматическая клетка — это часть иммунной системы организма, которая вырабатывает специфические иммуноглобулины, антитела. Плазматические клетки живут пару дней, а клетка памяти чуть дольше, а некоторые виды даже сохраняются на всю жизнь в организме людей при повторных вторжениях таких же антигенов. Данная клетка начинает с ней бороться, и происходит синтезирование антител в больших количествах. Все это распознается легко при проведении анализа.
Что делать при повышении плазмоцитов у ребенка
Если после сдачи крови лейкоцитарная формула показала у ребенка большой процент плазматических клеток, родителям следует взять бланк анализа и отправиться вместе с дочкой или сыном к педиатру.
Врач оценит всю лейкоцитарную формулу, другие параметры общего анализа крови, а также имеющиеся жалобы и перенесенные болезни. При необходимости он назначит ряд дополнительных обследований. В результате будет понятно, почему плазмоцитов оказалось больше нормы, а после лечения основной болезни такие клетки снизятся до нормального показателя.
Прежде чем понять откуда берутся плазматические клетки в крови человека, необходимо узнать зачем вообще нужны данные клетки в организме.
Основной функцией плазматических клеток является образование антител — специфических защитных белков. По свое сути, плазматические клетки представляют собой биологические фабрики, каждая из которых продуцирует огромное количество необходимых антител, готовых стать на защиту организма от чужеродных агентов — антигенов. Содержатся плазматические клетки в крови в очень малом количестве: на 200-400 клеток лейкоцитов попадается только одна плазматическая клетка, да и то — только в анализе ребенка. У взрослых людей плазматические клетки в крови в норме отсутствуют.
Плазматические клетки располагаются вблизи мелких кровеносных сосудов в органах иммунной системы — в кроветворной и лимфоидной тканях, серозных оболочках организма, а также соединительной ткани органов дыхания и пищеварения. Сами клетки имеют округлую форму, их ядра с грубыми глыбками хроматина располагаются в клетке эксцентрично (на периферии). В цитоплазме содержится большое количество рибонуклеиновой кислоты и поэтому она довольно сильно окрашивается основными красителями. Однако вблизи ядра присутствует слабо окрашиваемый участок, в котором расположены комплекс Гольджи и клеточный центр. Также в цитоплазме плазмоцитов хорошо развита эндоплазматическая сеть, большое количество рибосом, что является характерным признаком для активно синтезирующих клеток.
А появляются плазматические клетки в крови (которые, напомню, в норме не должны в ней присутствовать) следующим образом. После того, как антиген активирует иммунную систему, в зародышевых центрах образуются дифференцирующиеся клетки — лимфобласты. Плазматические клетки, которые в них образуются, располагаются в так называемых медуллярных тяжах лимфоидных клеток, между медуллярными синусами. А также созревание плазмоцитов происходит в участках, удаленных от того места, где произошла стимуляция антигеном — это наблюдается, например, в селезенке (в основном в ее краевой зоне). Скорее всего, такое перемещение клеток нужно для того, чтобы предотвратить образование высокой локальной концентрации белков-антител в тех участках, где макрофаги перерабатывают антиген, так как избыток антител мог бы слишком быстро нейтрализовать антиген и тем самым преждевременно выключить иммунный ответ в организме.
В норме у здорового человека плазматические клетки можно встретить только во вторичных лимфоидных органах и тканях, а также их довольно много в месте происхождения всех клеток крови — костном мозге.
Количество плазматических клеток в анализе крови увеличивается, как правило, при вирусных инфекциях, которые сопровождаются повреждением лимфоидной ткани, — такими являются: инфекционный мононуклеоз, корь, краснуха, ветряная оспа и т. п. А также увеличение содержания плазмоцитов в крови наблюдается при иммунологических реакциях организма на чужеродные ткани, присутствие инфекции и т.п.
Плазматические клетки относятся к группе лейкоцитов, чья основная задача заключается в уничтожении патогенных микроорганизмов
, попадающих в организм. Плазмоциты имеют одну уникальную особенность, которая делает их такими ценными для организма. Они способны синтезировать специфические антитела, то есть подстраиваются под тип и род возбудителя воспалительного процесса, при этом увеличивая шансы на быстрое выздоровление человека. Также эти клетки имеют память, что помогает иммунитету «запоминать» бактерии и вирусы и максимально быстро их ликвидировать при повторном попадании в организм. Какое количество плазматических клеток в анализе крови должно содержаться, и в каком случае диагностируется отклонения от нормы, рассмотрим далее.
Плазмоциты имеют круглую или овальную форму
, а их размеры не превышают 16 мк. Они являются неотъемлемой частью иммунной системы, помогая предотвратить распространение патогенной микрофлоры, попавшей в организм извне.
Причины плазмоцитов в анализе крови
Рассмотрим схему, при которой в кровь попадает большое количество плазмоцитов. Начальный этап – это попадание и активизация патогенной бактерии в организме. В этом случае моментально срабатывает естественная защита, и иммунные клетки сигнализируют о наличии «чужака», который может нести явную угрозу.
Пока происходит данный процесс, бактерия может размножиться и приспособиться к условиям окружающей среды. Поэтому, синтез плазмоцитов происходит непрерывно, дабы предотвратить полномасштабный воспалительный процесс. В количественном составе крови при наличии воспаления будет визуализироваться большое количество плазмоцитов, что указывает на наличие активизации иммунитета.
В процессе уничтожения патогенных клеток, плазмоциты, помимо иммуноглобулинов, вырабатывают клетки памяти. Они помогают распознавать бактерии и вирусы, после чего повторное их проникновение в организм будет ликвидировано быстрее. На данном свойстве иммунитета базируется система иммунизации, когда детям вводят небольшое количество патогенных микроорганизмов, являющихся возбудителями опасных заболеваний, после чего иммунитет способен самостоятельно побороть инфекцию и запомнить «врага в лицо».
После того, как чужеродные клетки атакованы и уничтожены, плазмоциты еще какое-то время продолжают вырабатываться.
Когда плазматические клетки присутствуют в анализе крови, организм подвержен нападению вирусов. Более низкие цифры говорят о том, что столкновение с инфекциями происходило не так давно. Факторы, которые влияют на показатели у взрослых и детей фактически одинаковые.
В анализе крови у взрослого:
- ОРЗ/ОРВИ;
- грипп, ангина;
- радиация;
- мононуклеоз (Эпштейн-Барр);
- заболевания аутоиммунного типа;
- туберкулез, пневмония;
- онкология;
- множественная миелома
- сепсис, некроз.
В отличие от других клеток иммунитета, плазматические не присутствуют в крови постоянно. Они содержатся преимущественно в лимфатических тканях, селезёнке и костном мозге, покидая свои убежища только в случае опасности для организма. Основной их функцией является выработка антител.
Механизм появления происходит следующим образом:
- иммунные клетки подают сигнал мозгу о том, что внедрились патогенные организмы определённого вида;
- мозг подаёт сигнал В-лимфоцитам с информацией о том, какой именно вирус либо бактерия проникла;
- В-лимфоциты перемещаются в лимфатические узлы, где перестраиваются в плазмоциты (плазматические клетки) для борьбы с конкретным возбудителем болезни;
- плазмоциты начинают выработку иммунного ответа, образуя за секунду несколько тысяч молекул белковых соединений — антител.
В процессе трансформации В-лимфоцитов часть новообразовавшихся клеток переходит в так называемые клетки памяти. Они живут десятилетиями в костном мозге, неся в себе антитела против каждой бактерии или вируса. Плазмоциты же погибают в течение несколько дней после зарождения.
https://youtube.com/watch?v=vzCrwWRtlmE
Инфицирование организма может привести к появлению плазмоцитов
Факторы, провоцирующие образование плазмоцитов:
- грипп,
- ОРЗ,
- ОРВИ,
- заражение бактериями,
- инфекционные заболевания,
- мононуклеоз,
- туберкулёз,
- дисбактериоз,
- патологии аутоиммунного характера,
- онкологические поражения тканей.
Механизм появления плазматических клеток
В отличие от других клеток иммунитета, плазматические не присутствуют в крови постоянно. Они содержатся преимущественно в лимфатических тканях, селезёнке и костном мозге, покидая свои убежища только в случае опасности для организма. Основной их функцией является выработка антител.
Механизм появления происходит следующим образом:
- иммунные клетки подают сигнал мозгу о том, что внедрились патогенные организмы определённого вида;
- мозг подаёт сигнал В-лимфоцитам с информацией о том, какой именно вирус либо бактерия проникла;
- В-лимфоциты перемещаются в лимфатические узлы, где перестраиваются в плазмоциты (плазматические клетки) для борьбы с конкретным возбудителем болезни;
- плазмоциты начинают выработку иммунного ответа, образуя за секунду несколько тысяч молекул белковых соединений — антител.
В процессе трансформации В-лимфоцитов часть новообразовавшихся клеток переходит в так называемые клетки памяти. Они живут десятилетиями в костном мозге, неся в себе антитела против каждой бактерии или вируса. Плазмоциты же погибают в течение несколько дней после зарождения.
Принцип проведения анализа и показатели нормы
Для проведения исследования на плазмоциты никакой дополнительной подготовки не потребуется. Пациенту необходимо лишь соблюсти общепринятые рекомендации, которые предварительно нужно уточнить у медперсонала. Как уже упоминалось выше, количество плазматических клеток вычисляется при проведении общего, или, как его еще называют. клинического анализа крови.
К основным правилам, которые требуется выполнить проходящему данную процедуру, относятся следующие:
- посетить лабораторию для сдачи биоматериала утром либо в первой половине дня;
- воздержаться от приема пищи на завтрак, а ужин должен быть не позднее 20.00 вечера накануне перед анализом;
- постараться не переутомляться физически и психоэмоционально, так как это может негативно сказаться на результатах исследования.
Забор биоматериала производится из пальца, то есть для исследования берется периферическая кровь. Для ее взятия выполняется прокол стерильным скарификатором и в специальную пробирку отбирается несколько капель, которых будет достаточно для проведения диагностики.
После чего образец маркируется и отправляется для микроскопического изучения в лабораторию. Результаты чаще всего будут известны на следующий рабочий день, но это также может еще зависеть о загруженности лаборатории.
В ситуации, когда материалы исследования требуются как можно скорее, стоит обратиться в частную клинику, где за определенную плату расшифровка анализа будет выполнена за 1–2 часа, и пациент получит необходимую информацию в максимально короткие сроки.
При обнаружении в крови взрослого человека плазматических клеток можно с уверенностью утверждать о патологическом процессе. При этом врачу необходимо разобраться – заболевание находится в активной фазе развития или же это остаточные явления перенесенной патологии.
Но в любом случае потребуется проведение комплекса дополнительных обследований, поскольку норма содержания плазмоцитов в крови взрослых людей – это их отсутствие! Данные клетки в периферической крови у здорового человека определяются не больше чем 1–2 штуки на тысячу форменных элементов.
Единственным исключением являются дети – у новорожденных нормальные показатели плазмоцитов могут колебаться в пределах 1–2% от общего количества остальных кровяных клеток. А у детей постарше и до самого подросткового периода содержание данных клеток может варьироваться от 0,25 до 0,5 %.
Повышение плазмоцитов у детей
У маленьких пациентов причины роста содержания описываемых элементов крови мало чем отличаются от взрослых людей. Хотя у малышей основным фактором все же являются детские инфекционные заболевания, такие как корь, краснуха, ветрянка и прочие, поскольку чаще всего они развиваются в этом возрасте.
Отдельно стоит упомянуть о плазмоцитоме, которая хоть и наиболее характерна для взрослых людей после 40 лет, но иногда может поражать и детский организм. Суть патологии заключается в злокачественном перерождении плазмоцитов в мутированные элементы (миеломные). При этом заболевании плазматические клетки в крови у ребенка возрастают до высоких показателей, что сразу может натолкнуть врача на мысль о присутствии тяжелого патологического процесса.
Эта болезнь сопровождается интенсивными болевыми ощущениями в костях, кровотечениями, переломами и нередко повышенным тромбообразованием. Поэтому, если у ребенка наблюдается подобная симптоматика, необходимо как можно раньше обратиться к специалисту для установления диагноза и назначения соответствующей терапии.




















































































































