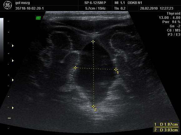
Арахноидальные кисты
Данные образования (полости, содержащие жидкость) образуются в паутинной оболочке. могут привести к сдавливанию мозга. Нередко на фоне таких образований развивается Чаще всего такие последствия наблюдаются в том случае, если диаметр образований более 3 см.
Патология не способна рассосаться самостоятельно. Кисты могут увеличиваться в размерах. Именно поэтому ребенка должен наблюдать
Нейросонография (или ультразвуковое исследование новорождённых) в последнее время стала обычной рутинной процедурой, применяемой в отношении всех без исключения детей в первые дни и месяцы их жизни. Этому есть вполне логичное объяснение: на настоящий момент такое узи мозга новорождённых признано самым безопасным, безболезненным и очень информативным способом всестороннего анализа головного мозга малыша, этот метод позволяет заблаговременно принять все необходимые меры для излечения при выявлении болезней или патологии.
Врачи также настоятельно рекомендуют делать головному мозгу новорождённого повторное узи с промежутком примерно в 1-2 месяца, чтобы в динамике наблюдать за процессами, происходящими у малыша. Сроки между проведением нейросонографии новорождённых могут варьироваться как в сторону увеличения, так и уменьшения, всё зависит исключительно от характера выявленных процессов в головном мозге ребёнка и его общего состояния. Следует ещё раз повториться: на данный момент не было выявлено никаких противопоказаний для проведения такого исследования, также не зафиксировано случаев ухудшения здоровья ребёнка, возникших из-за узи.
Какие отклонения и болезни способно выявить УЗИ головного мозга у грудничка?
УЗИ-анализ головного мозга младенца может выявить определённые патологии, перечисленные ниже. В то же время этот метод не позволяет распознать заболевания, в основе которых — гормональные, генетические или биохимические нарушения, так как при этом структура головного мозга не изменяется. Следует также учесть, что нейросонография — лишь один из способов получения всесторонней информации о состоянии здоровья малыша и не может быть исчерпывающим. Иногда возможны спорные мнения по поводу замеченных при узи изменениях в головном мозге ребёнка. На данный момент врачам удаётся распознать с помощью узи головного мозга такие болезни и патологии у новорождённых:
- расширение субарахноидального пространства;
- расширение желудочков мозга;
- кисты сосудистых сплетений головного мозга;
- арахноидальные кисты;
- субэпендимальные кисты;
- ишемию мозга;
- опухоли мозга;
- менингит.
Что требуется для проведения УЗИ мозга младенцу?
Не требуется никаких подготовительных мероприятий. Малышу можно проводить УЗИ даже в спящем состоянии. Если же он бодрствует, лучше всего начинать процедуру после кормления, когда у детей наступает фаза спокойствия. Среднее время проведения процедуры — 5-7 минут. Узи проводится через открытый у новорождённого передний (большой) родничок, переднебоковой и заднебоковой роднички (спереди и сзади от уха, в районе виска), через большое отверстие затылочное.
Почему нельзя сделать УЗИ головного мозга в более позднем возрасте?
Как только у ребёнка роднички становятся твёрдыми («зарастают»), УЗИ становится невозможным, так как звуковая волна не способна преодолеть костный барьер.
Например, родничок на затылке закрывается в три месяца, а центральный — около года и позже.
Новорожденного назначается для наглядной картины функционирования мозговых полушарий, нейронов и импульсов, а также на предмет обнаружения новообразований или каких-либо других нарушений, препятствующих нормотипичному развитию ребенка.
УЗИ головы ребенку – это безвредная процедура, которая проводится на современном оборудовании, исключающем негативное влияние на организм.
Ультразвуковой луч как бы просвечивает еще мягкие кости черепа новорожденного, а именно «родничок», выводя на экран картину состояния мозговых полушарий и кровотока внутри них.
УЗИ головного мозга у младенцев еще называют нейросонографией. Особой подготовки перед этим мероприятием совершенно не требуется.
Как правило, малыши довольно спокойно переносят процедуру, могут даже задремать от поглаживаний датчика по макушке.
УЗИ головного мозга делают до 12 – 15 месяцев ребенка, до полного зарастания «родничка».
Результаты обследования
В ходе проведения нейросонографии головного мозга новорожденных специалист получает необходимую для оценки состояния головного мозга информацию.
Показатели нормы выглядят следующим образом:
- Новообразования не выявлены;
- Мозговые структуры симметричны;
- Мозжечок симметричен и имеет трапециевидную форму;

- Сосудистые сплетения характеризуются однородностью;
- Желудочки мозга однородны и симметричны;
- Борозды и извилины органа четко визуализируются;
- Жидкости в щели между полушариями не выявлено.
Результаты, полученные в ходе НСГ, передаются неврологу, который делает расшифровку и определяет наличие и характер патологии. Выявив степень тяжести, он решает, необходимо ли лечение или достаточно наблюдения.
При расшифровке полученных данных специалист руководствуется показателями нормальных размеров основных анатомических образований мозга.
Таблица 1. Нормы нейросонографии новорожденных и детей до года
| Анатомическое образование | Показатели нормы для новорожденных | Показатели нормы для детей в возрасте 1-3 месяцев |
| Боковые желудочки мозга | Передние рога – 1,5 мм (допускается отклонение в 0,5 мм в большую или меньшие стороны);
Затылочные рога – от 1 до 1,5 см; Тело – до 4 мм. |
Передние рога – до 2 мм;
Затылочные рога – до 1,5 см; Тело – 3 мм (допустимы отклонения в 1 мм в большую или меньшую сторону) |
| Третий желудочек | 4,5 мм (допустимы отклонения в 0,5 мм) | 5 мм |
| Щель между полушариями мозга | 2 мм | 2 мм |
| Большая цистерна | Не более 6 мм | От 3 до 5 мм |
| Субарахноидальное пространство | От 2 до 3 мм | Не более 2 мм |
Курс терапии назначают исходя из того, что послужило причиной нарушения структур мозга.
Таблица 2. Выявленные патологии и подходы к лечению
| Выявленная патология | Суть состояния | Подход к лечению |
| Кровоизлияния в желудочках мозга | Угнетение центральной нервной системы | Симптоматическая терапия, при необходимости проведение шунтирования |
| Новообразования в полости черепа | Опухоли мозга или тканей | Хирургическое лечение, нормализация внутричерепного давления, устранение симптомов гипоксии |
| Утолщение оболочек мозга, патологические изменения тканей органа | Менингит | Антибактериальная терапия, устранение последствий интоксикации |
| Расширение желудочков мозга | Гидроцефалия | Консервативное или хирургическое лечение в зависимости от состояния пациента |
| Кровоизлияния в вещество головного мозга | ДЦП, задержка в развитии | Нормализация кровотока, стабилизация показателей давления. В некоторых случаях возможно хирургическое вмешательство |
| Кисты сосудистых сплетений | Наличие кист в виде небольших пузырьков | Врачебное наблюдение, поскольку кисты такого вида не требуют лечения и рассасываются самостоятельно |
| Арахноидальные кисты | Отклонения в развитии психического и неврологического характера | При росте кисты производится хирургическое вмешательство |
Это может быть полезно: одним из отклонений неврологического характера является церебрастения
Какие патологии можно выявить при исследовании рассказывает врач ультразвуковой диагностики Наталья Владимировна Ремизова:
НСГ – эффективная диагностическая процедура, с помощью которой исследуют состояние головного мозга новорожденных и детей до года. Ультразвук позволяет специалисту установить диагноз и предотвратить серьезные осложнения, при этом вреда здоровью ребенку не причиняется. При появлении каких-либо отклонений необходимо немедленно обращаться к врачу, который назначит проведение диагностики данного вида.
Список литературы
- BROWN MR (September 1951). “The classification and treatment of headache”. Med. Clin. North Am. 35 (5): 1485—93. PMID 14862569.
- В.Н. Шток. Головная боль. — Москва: Медицина, 1987. — С. 30—33. — 304 с. — 95 000 экз.
- The Headaches, Pg 232—233
- Головокружение А. Ю. Лавров, чл.-корр. РАМН, профессор Н. Н. Яхно; ММА имени И. М. Сеченова.
- Википедия: О головной боли.
Расшифровка результатов
При проведении нейросонографии у новорожденных специалист может обнаружить различные патологические изменения. Наиболее часто во время НСГ выявляют следующие отклонения:
- ассиметрия мозговых полушарий, связанная с появлением в мозге объемных образований — опухолей, кист и др.;
- гиперэхогенные округлые структуры, расположенные в глубине головного мозга или рядом с мозговыми оболочками. Они соответствуют кистам, заполненным ликвором;
- увеличение объема желудочков и уменьшение толщины мозговой ткани характерно для гидроцефалии. Заболевание сопровождается ростом внутричерепного давления и сдавлением головного мозга;
- аномалии развития различного строения.
Выявление патологических изменений при нейросонографии не позволяет врачу установить точный диагноз. Результаты НСГ являются показанием для проведения дополнительного обследования — электроэнцефалографии, компьютерной или магнитно-резонансной томографии и др.
Нейросонография головного мозга — эффективный и безопасный метод оценки состояния структур центральной нервной системы. Диагностическая процедура не требует подготовки новорожденного и может быть выполнена в большинстве лечебных учреждений.
При проведении НСГ получаемые результаты с размерами желудочков мозга, коры больших полушарий и других анатомических образований сравниваются с известными нормами. В случае их отклонения специалисты подбирают диагностические мероприятия, позволяющие подтвердить или опровергнуть диагноз для ребенка.
Показания
Согласно распоряжению Минздрава России, нейросонография проводится всем детям в возрасте 1 месяца либо в 3 месяца. УЗИ головного мозга включено в перечень исследований во время первого в жизни ребенка медицинского осмотра. Это не означает, что малышу не могут провести такое исследование раньше — по показаниям его проводят и в родильном доме, и в любой детской больнице.
Иногда УЗИ головного мозга включают и в медицинский осмотр детям старше года, это зависит от распоряжений регионального Минздрава. Но по желанию родителей такую процедуру могут провести в любом возрасте и в любом регионе страны.
В каких случаях ребенку обязательно нужно сделать такое ультразвуковое исследование? Показаний существует достаточно много:
- неадекватное поведение малыша (вялость, отсутствие нормального аппетита, частый беспричинный плач, тремор конечностей, косоглазие);
- регулярные приступы головных болей;
- ухудшение слуха и зрения у ребенка;
- нарушения памяти, низкие способности к обучению, серьезная задержка речевого, психического и психоэмоционального развития;
- низкое артериальное давление у ребенка, а также эпизоды обмороков;
- судороги в анамнезе;
- нарушение координации движений, случаи падений и потери равновесия, которые не были вызваны механическим препятствием – беспричинные;
- шейные и черепные травмы в анамнезе, включая родовые травмы.
УЗИ головного мозга считается обязательным для детей, которым предстоят операции на сердце и сосудах. Также метод включается в план обследования ребенка после травмы, например, после падения и удара головой — в большинстве случаев УЗИ достаточно точно покажет сотрясение, ушиб головного мозга, наличие гематом.
Ультразвуковое сканирование применяют при подозрении на менингит, энцефалит, менингоэнцефалит, которые нередко бывают осложнениями острых инфекционных заболеваний в детском возрасте. Также диагностическое обследование показано в том случае, если врач подозревает наличие опухолевого процесса.
Стать основанием для назначения нейросонографии вне графика могут и следующие факторы:
- вес малыша при рождении вне зависимости от срока гестации составил менее 2,7 кг — у маловесных малышей, даже если они хорошо кушают и «догоняют» ровесников, довольно часто обнаруживаются некоторые аномалии головного мозга, хотя большая их часть — функциональная, не требующая терапии;
- у ребенка есть некоторые внешние аномалии развития (шестипалость, укорочение конечностей, асимметрия лица);
- ребенок не закричал в сроки, отведенные для этого в акушерстве;
- роды были тяжелыми, затяжными или стремительными, сопровождавшимися преждевременным излитием околоплодных вод;
- беременность протекала на фоне выраженного резус-конфликта матери и плода.
Окончательный диагноз ребенку по УЗИ установить невозможно. Этот метод является первым, который только позволяет обозначить существующую проблему. Более подробно суть проблемы устанавливают при помощи , компьютерной томографии. МРТ, к слову, малышам проводят под общим наркозом, поскольку нет никакой возможности заставить ребенка неподвижно лежать столько времени, сколько происходит фиксация результатов магнитно-резонансного исследования.
Техника проведения и интерпретация результатов
Главное требование к ребенку – «просьба» 10-15 минут полежать спокойно. Если в возрасте года это можно выполнить проще, то в возрасте, к примеру, 3 месяца, малыш может сильно плакать. Но даже в этом случае УЗИ головного мозга можно сделать и «сквозь плач». Главное – это нанести немного геля на область родничка, то есть на «окно», сквозь которое будет проводиться обследование.
В то время как врач выполняет исследование, ему нужно обращать особое внимание на симметричность, и визуализировать некоторые структуры мягких тканей головы и головного мозга:
- оценить желудочки головного мозга, их размеры и форму. Расшифровка данных предполагает указание ширины боковых желудочков, их рогов, а также конфигурацию и размеры в миллиметрах. Нормы и отклонения от нее могут говорить о гидроцефалии и повышении внутричерепного давления;
- проводится оценка коры головного мозга. Нормы развития коры предусматривают четкую картину борозд и извилин, которые нужно оценить врачу УЗИ. Сквозь родничок делается «фотография», поскольку транскраниальная оценка коры может быть затруднена;
- визуализируют мозжечок, делают оценку его симметричности, локализации относительно большого затылочного отверстия;
- отыскивают сосудистые сплетения желудочков (пахионовы грануляции), их параметры. Зачем это делается? Чтобы оценить количество жидкости, которое находится в желудочках, а также способность грануляций к всасыванию цереброспинальной жидкости, или резорбции, а так же ищут элементы артериовенозного круга;
- особо тщательно детям младшего возраста нужно искать очаговые образования. Транскраниальная методика позволяет провести поиск крупных, контрастных образований в атипичных местах. Естественно, норма не предусматривает нахождение таких теней. В некоторых случаях, и достаточно часто, могут быть найдены кисты, например, или мозолистого тела. Данные о найденных очаговых образованиях могут быть представлены в сравнительной таблице. Расшифровка предполагает тщательное сравнение данных с левой и с правой стороны головы.
В случае обнаружения очаговых теней, кист, или чего-либо подобного, врач не только выполняет снимок, но и может записать видео.
Кроме того, нейросонография – это предварительный метод. Например, в том случае, если выявляется киста, или какое-нибудь отклонение от нормы, но стабильное и не изменяющее свои размеры, то назначается, например, МРТ, которая позволяет часто или уточнить, или опровергнуть диагноз. И дело здесь не в уровне образования и опыте врачей ультразвуковой диагностики: их обучение длится достаточно долго, и они не один и не два месяца учатся, чтобы отличать вариант нормы от патологических изменений. Просто МРТ и компьютерная томография являются более чувствительными и специфичными способами исследования.
Просто проведение МРТ детям может быть затруднено: ведь спокойно полежать нужно будет 20 и более минут, и для этой цели маленьким детям, которым исполнился, например, месяц, врачи вынуждены назначить медикаментозную седацию, или ввести в сон.
Следует заметить, что УЗИ, в отличие от МРТ, может проводиться хоть каждый месяц, а вот рентгеновская компьютерная томография причиняет лучевую нагрузку на организм. И норма радиационной нагрузки не позволяет проводить это исследование часто, а при беременности оно вообще противопоказано.
В заключение
Таким образом, такое исследование, как нейросогонрафия, является простым, безопасным и высокоинформативным. Его расшифровка несложна, исследование проводится быстро и безболезненно. Противопоказаний к такому методу, как транскраниальное ультразвуковое исследование, практически не существует. Даже в случае тяжелого состояния малыша, этот метод может быть выполнен быстро, и одновременно с манипуляциями реанимационной бригады, которая может выполнять свою работу.
Единственное, чего требует транскраниальная НСГ, так это качественного аппарата для ультразвуковой диагностики и специального датчика, который может стоить весьма дорого. Несмотря на эти особенности, средняя стоимость этого исследования практически нигде, даже в платных медицинских центрах, не превышает 1500 рублей.
Оцените эту статью:
- 4.25
Всего голосов: 124
Что может выявить
С помощью нейросонграфии можно вовремя выявить различные нарушения работы и строения головного мозга ребенка.
НСГ способно выявлять такие проблемы:
- Пороки развития и структурные изменения мозга в целом;
- Различные кисты (жидкостные образования), которые сдавливают участки мозга и влияют на его работу;
- Инфекционно-воспалительные заболевания мозга (например, менингит);
- Кровоизлияния;
- Опухоли (бывают очень редко);
- Ишемию мозга;
- Травмы, гематомы, повреждение костей.
Результаты
Расшифровка полученных на НСГ данных делается только врачом.
Чтобы правильно оценить результат, необходимы и другие сведения: вес ребенка при рождении, как протекали роды (продолжительность, сложность, обвитие пуповиной, родовые травмы), особенности внутриутробного развития и прочее.
Оценивают такие данные:
- Симметричность мозга младенца.
- Четкость извилин головного мозга.
- Желудочки головного мозга (в норме симметричны, однородны, анэхогенны)
- Сосудистые сплетения (норма – сплетения однородны и гиперэхогенны);
- Присутствие патологических образований.
Нормальные значения
В норме все структуры мозга симметричны, отсутствуют кисты, пороки развития, признаки кровоизлияния, очаги лейкомаляции и ишемии.
Нормальные размеры основных анатомических образований головного мозга:
- Ширина субарахноидального пространства – не более 3 мм;
- Межполушарная щель – до 4 мм;
- Третий желудочек – не более 6 мм;
- Глубина переднего рога бокового желудочка – до 4 мм
- Глубина затылочного рога бокового желудочка – до 15 мм
- Глубина тела желудочка – до 4 мм
- Большая затылочная цистерна – от 44 до 85 кв. мм;
Патологии
НСГ самый информативный метод диагностики мозга новорожденного. Чаще всего обнаруживают такие патологии:
-
Гидроцефалия – поражение мозга, при котором в расширенных желудочках скапливается жидкость.
При выявлении в ходе НСГ расширения желудочков головного мозга, предполагается обструктивная форма гидроцефалии. - Голопрозэнцефалия – передний мозг не разделен на полушария.
- Порэнцефалия – присутствие полости в средних отделах полушарий большого мозга (истинные кисты). На НСГ эти кисты видны в виде округлых образований, которые имеют четкую стенку.
- Различные кисты: сосудистого сплетения (не требует вмешательства, рассасываются), субэпендимальные, арахноидальная (требуют наблюдения врача и лечения).
- Геморрагические изменения – гематомы, кровоизлияния. Часто наблюдаются у недоношенных детей из-за гипоксии.
А вы знаете из-за чего у новорожденных бывает желтуха? И почему малыши часто икают после кормления?
Опасен ли зеленоватый стул и стоит ли паниковать из-за золотистого стафилококка в кале?
Что делать при обнаружении патологий
Если вдруг у малыша обнаружили патологию, не нужно паниковать. Вовремя обнаруженная болезнь – половина успеха на пути к ее излечению.
К тому же, некоторые нарушения функционирования головного мозга младенца, проходят самостоятельно и требуют не лечения, а наблюдения за малышом у специалиста.
Поэтому в любом случая, прежде всего, проконсультируйтесь с врачом и не пренебрегайте дополнительными обследованиями.
Ребенок ходит на носочках – причины (Комаровский) и возможные последствия.
Вдруг пропало молоко – как возобновить лактацию? Как должен набирать вес новорожденный – таблица по месяцам.
Если возник вопрос, где можно сделать нейросонографию младенцу, то сначала проконсультируйтесь со своим врачом.
Если возникнет такая необходимость, то лучше всего сделать НСГ в специализированном диагностическом центре.
Далее вы можете посмотреть видео, в котором о НСГ расскажет специалист:
Нейросонография для новорожденных: показания
В последнее время УЗИ головного мозга (как и других внутренних органов и тазобедренных суставов) проводят всем новорожденным детям с профилактической целью
Врачи объясняют такую предосторожность очень просто: метод безопасен, и в то же время позволяет выявить множественные серьезные патологии и опасные нарушения на самых ранних этапах их развития
Что касается конкретно нейросонографии, то в пользу ее проведения у малышей говорит еще один факт: в первые 3 месяца жизни младенца у него наиболее активно развивается нервная система. При рождении она сформирована лишь на четверть: у плода к моменту рождения созревает только 25% нервных клеток в головном мозге. Но в течение первого года жизни их количество достигает 90%! Такое интенсивное развитие ЦНС дает возможности корректировать патологические состояния, ведь нервная система крохи сейчас еще довольно гибка и легко поддается лечению.
Чаще всего профилактическая нейросонография новорожденных проводится в 1 месяц или в возрасте 1,5-2 месяцев. Но в ряде случаев младенца направляют на УЗИ головного мозга сразу после рождения, уже в первые дни жизни. Следует признать, что некоторые патологии отчетливо проявляются и легче всего поддаются лечению именно в этот период.
Поводом для обязательного проведения нейросонографии новорожденному ребенку могут стать следующие состояния:
- резус-конфликтная беременность;
- родовые травмы, тяжело протекающие роды;
- недоношенность;
- низкая оценка новорожденного по шкале Апгар (7 и меньше баллов);
- несоответствие параметров окружностей головки и груди;
- гипоксия в период вынашивания или асфиксия в родах;
- перенесенные младенцем либо еще в период беременности женщиной или плодом инфекции;
- недостаточный или избыточный вес младенца;
- необычное строение черепа или скелета лица у ребенка;
- травмы головы;
- подозрение на повышенное ВЧД, ДЦП или другие патологии;
- проявление симптомов неврологических (судороги, приступы эпилепсии, частые срыгивания, нарушения моторики, мышечная слабость и пр.) и других заболеваний;
- инфекционно-воспалительные процессы в головном мозге.
Таким детям нейросонографию проводят уже в первые дни жизни, еще в роддоме.
Между тем, хотим сразу предупредить Вас и, возможно, успокоить: ни в коем случае не думайте, что раз ребенка отправили на УЗИ, то значит, с ним что-то не так. Это надежный способ убедиться в том, что с малышом как раз-таки все в порядке. И даже если он беспокоен, плохо ест или спит, то очень часто причинами общего неблагополучия оказываются банальные бытовые факторы (недостаток свежего воздуха, слишком сухой и теплый воздух в комнате и др.), а не серьезные нервные патологии. В частности, доктор Комаровский многократно в своих выступлениях акцентирует на том, что сегодняшние врачи сплошь и рядом ставят новорожденным диагноз «повышенное внутричерепное давление», в то время как на самом деле этой патологии у детеныша и близко нет, ведь это очень серьёзное, опасное и довольно редкостное заболевание, при котором детей обязательно госпитализируют и тщательнейшим образом обследуют для начала.
В общем, как правило, при направлении малыша на нейросонографию нет причин волноваться.
Расшифровка УЗИ
Во время УЗИ головного мозга оцениваются доли органа, размеры и структура его желудочков, сосудистая система, субарахноидальное пространство. Выявляются новообразования, их локализация, размеры, характер и структура. В норме желудочки мозга должны быть с четкими контурами, однородными, анэхогенными (средней интенсивности – подкорковые ядра).
Между полушариями не может быть никакой жидкости. В структуре мозга в норме нет никаких включений, отсутствуют аневризмы, сосудистые стенки с четкими контурами. Эхо-сигналы должны показывать среднее значение, а расстояния до М-эха от обоих полушарий – одинаковое, пульсация не превышать 30 процентов. К норме относится наличие одинакового числа небольших импульсов, имеющих равную амплитуду, а среднеселлярный должен находиться в промежутке 3,9-4,1.
Любые отклонения от нормы могут указывать на:
- ишемическую болезнь;
- кровоизлияние;
- доброкачественную, супратенториальную или раковую опухоль;
- менингит;
- отек мозга;
- геморрагический инсульт;
- аденому гипофиза;
- абсцесс;
- размозжение мозга;
- болезнь Паркинсона;
- внутричерепные гематомы;
- сосудистые аневризмы;
- стеноз артерий;
- атеросклеротические изменения;
- смерть мозга.
Многие вышеперечисленные патологии могут наблюдаться и у детей. В первую неделю жизни для недоношенных детей характерны кровоизлияния в вещество и желудочки мозга, но в более поздний период это относится к патологическому процессу. К наиболее частым заболеваниям, выявленным с помощью УЗИ головного мозга ребенка, относятся:
- Кисты сосудистых сплетений (часто рассасываются сами к 7 месяцам). Такие образования часто сопровождают синдром Дауна.
- Субэпиндимальные кисты – обычно следствие гипоксии.
- Внутрижелудочковое кровоизлияние также образует кисту, но она часто рассасывается самостоятельно.
- Аранходальные образования находятся сразу под черепом. Первичная формируется во время внутриутробного развития, вторичная появляется после хирургического вмешательства или воспаления.
- Гидроцефалия (скопление жидкости в желудочках и полостях мозга). Может быть врожденной либо приобретенной, голова при этом сильно увеличивается в размерах.
- Внутричерепные гематомы обычно появляются у недоношенных младенцев или после сложных родов.
- Высокое внутричерепное давление может вызвать опухоль.
- Ишемия (омертвление некоторых участков мозга) появляется обычно после гипоксии и нарушения кровообращения.
О возможных заболеваниях свидетельствует смещение (более 2 см) структур в другую сторону от очага поражения. Заключение делается на основе результатов трех этапов:
- сначала оцениваются самые быстрые отклики после отражения УЗ-волн от структур;
- потом рассматриваются сигналы, которые образуются от соприкосновения ультразвука с межполушарными структурами;
- затем оцениваются отклики, формирующиеся от контакта волн с твердыми оболочками.
Расшифровка результатов делается сразу в течение 15 минут и выдается пациенту на руки. Стоимость УЗИ мозга варьируется от региона, месторасположения клиники, аппаратуры и области и видов исследования. Например, в Москве цена обследования – от 700 рублей. Для сравнения КТ головного мозга стоит 4000 руб., придаточных пазух носа – 3500 руб., а нейросонография вкупе с допплерографией – от 2000 руб.
Несмотря на все преимущества УЗИ, оно не отличается высокой информативностью. Ультразвук дает общее представление о крупных артериях, в отличие от ангиографии (УЗИ сосудов головного мозга), с помощью которой хорошо оцениваются любые ветки, даже мелкие капилляры. Отсутствие смещения не исключает воспалений и заболеваний в затылочной и лобной части органа. Для этого более подходят МРТ и КТ.
Однако для первичной диагностики в первую очередь назначается УЗИ, как самый доступный и безопасный метод исследования. Если этого метода достаточно для постановки диагноза, то других видов обследования не требуется.
Показания
Для ребенка в первый год жизни существует много показания для проведения ультразвукового обследования. Это может быть беременность и роды, подозрения на разнообразные болезни, врожденные пороки и т.п. определение патологии на первичных стадиях развития дает больше шансов на выздоровление.
Процедура длится максимум 15 минут. Для обследования головы специалист закрепляет сенсоры на переднем родничке и в области висков. В редких примерах обследуются затылочные участки. УЗИ проводится для того, чтобы получить достоверные сведения о состоянии головного мозга новорожденного
Отображаемые данные сравниваются с нормальным состоянием, и устанавливается диагноз. В общей сложности применяют 12 обычных показателей для диагностики. Невролог учитывает результаты обследования при определении терапевтической методики.
Врач определяет состояние широких кровеносных сосудов мозга, выявляет деформацию стенок, повреждения, сплетение, новообразования, анализирует структуру тканей. Главными параметрами для изучения считается объем желудочков. Сверхнормативные показатели свидетельствуют о нарушениях.
Показатели нейросонографии обусловлены тем, на какой неделе малыш появляется на свет. Перечислим нормальные показатели ультразвукового обследования:
- Борозды и извилины в мозгу должны быть расположены симметрично, желудочки и цистерны отображаться отчетливо.
- Показатель эхогенности подкорковых ядер в норме.
- Передний рог крайнего желудочка имеет глубину примерно 1-2 мм. Размер его не должен превышать 4 мм.
- В щели между полушариями мозга отсутствует жидкость. Нормальная ширина составляет 2 мм.
- Сосудистые сплетения в области желудочков однородные.
- Размер 3-го желудочка – 2-4 мм.
- Стволовые структуры расположены на своем месте.
- Длина большой цистерны 3-6 мм.
Расшифровками результатов УЗИ занимается невролог. Он может назначать малышу правильную терапевтическую методику. Контролировать и определять тенденции развития мозговых тканей, выявлять возможные болезни. Неврологу нужно оценить данные нейрофизиографии, сопоставить их с выявленными симптомами.



















































































































