Грибковая инфекция
Одноразовые подгузники распространились повсеместно, они облегчают уход за младенцем. Синтетические материалы в составе изделий создают влажную среду, идеальную для развития дрожжевой инфекции. Как правило, сыпь локализуется в паховых складках, вокруг заднего прохода.
Молочница поражает кожу в области подгузников после лечения ребенка антибиотиками. В этом случае меняется состав микрофлоры кишечника, развивается дисбактериоз, уменьшается количество «хороших» бактерий, не позволяющих размножаться грибкам. Кандидоз начинается с того, что между ножек появляется сыпь. Маленькие красные точки сливаются в пятна, которые распространяются на паховые и межъягодичные складки.
Признаки молочницы на половых органах:
- белые выделения между половыми губами у девочек;
- сильный зуд в области промежности;
- покраснение и отек половых органов;
- резь при мочеиспускании.
Очень опасна грибковая сыпь на половых губах у ребенка, одним из осложнений инфекции являются синехии у девочек (сращение малых половых губ).
Кандидоз поражает кожу в местах естественных складок — в паху и подмышками, на животе. Появляются папулы и гнойнички, кровоточащие эрозии. При обнаружении покраснения и сыпи у девочки между ножек и у мальчика на яичках нужно сдать анализы мочи, мазок с пораженного участка, выполнить серологическое исследование. После подтверждения диагноза педиатр назначает ребенку мази с антимикотическими компонентами. Из народных средств от молочницы помогают растворы пищевой соды, марганцовки.
Причины непатологического характера
Неприятная зудящая сыпь, покраснение и жжение в зоне паха часто проявляются в ответ на ношение нательного белья из синтетических материалов. Даже самые модные и красивые, но пошитые из синтетики модели трусов могут вызывать:
- аллергическую реакцию (на коже появляются красные пятна, которые зудят и мокнут);
- трение кожи с последующим её травмированием и инфицированием поврежденных участков;
- сдавливание яичек (у мужчин);
- перегрев наружных половых органов;
- «парниковый эффект» (нарушение воздухообмена при повышенном потоотделении).
Предпочитая тесное синтетическое белье, мужчины и женщины подвергают кожные покровы интимной области механическим повреждениям в результате трения, перегреву, скоплению пота и загрязнений – идеальной среды для развития патогенной микрофлоры.
Особенно часто высыпания в зоне паха беспокоят тех, кто пренебрегает гигиеническими процедурами. Однако даже у самых чистоплотных людей может появиться сыпь на гениталиях в результате использования неподходящих косметических средств (гелей, мыла, кремов и т.д.)
Чтобы не допустить возникновения дискомфортного симптома по гигиеническим причинам, необходимо отдавать предпочтение удобному белью из натуральных материалов и подходящего размера, регулярно уделять внимание очищению и уходу за кожей интимной зоны, используя для этого специальные средства
Причины появления зуда

Лечение зуда в паху у мужчин — задача в первую очередь для дерматолога. Именно он является первым врачом, к которому стоит обратиться с проблемой. В дальнейшем специалист будет принимать решение о дополнительной диагностике и направлении пациента к другим узким специалистам. В целом, если причины зуда в интимной зоне у мужчин гигиенические, то это:
- Банальное несоблюдение правил личной гигиены. Недостаточно тщательное удаление смегмы из-под крайней плоти со временем приведет к тому, что скопившиеся частички смазки, жира и пота станут отличной средой для размножения бактерий. Отсюда и ощущение зуда в области пениса или кожи в паху.
- Посещение общественных закрытых водоемов типа бассейна или сауны и использование при этом чужих предметов личной гигиены (полотенце, мочалка и др.).
- Длительное пребывание в мокром купальном белье.
- Ношение белья, подмоченного подтекающей мочой. В этом случае возникает раздражение кожи на фоне постоянного ее контакта с кислой мочой.
- Вши лобковые. Чаще всего переносятся от зараженного полового партнера или в результате тесного контакта с лицами, зараженными лобковой вошью.
- Клещ чесоточный. Патология, которая лечится исключительно специальными наружными препаратами. Передается от больного человека к здоровому. Главный признак – чесоточная сыпь по ходу движения клеща.
Если причины зуда мошонки или пениса — грибковое поражение кожи, то часто это:
- Кандидоз. Может передаваться первично от половой партнерши. Позднее даже после эффективного лечения гриб Кандида может активизироваться под воздействием стресса, переохлаждения, приема антибиотиков.
- Эпидермофатия паховая. Развивается при длительном влажном воздействии на кожу паха (пот, мокрое белье, моча) плюс грязь. Чаще эпидермофатия локализуется в паховых складках кожи и на машонке.
Также необходимо обратить внимание и на хронические системные болезни, которые могут вызывать ощущение зуда в интимных местах. Чаще всего происходит это из-за нарушения обменных процессов в организме
Самыми распространенными болезнями, при которых появляется в промежности зуд, считаются:
- Диабет сахарный;
- Расстройства эндокринной и гормональной систем;
- Пиелонефрит;
- Проблемы с сосудами.
К аллергическим первопричинам появления чесотки в паху относят использование некачественной воды для совершения интимного туалета, либо применение новых косметических средств для приема душа. Помимо этого аллергия у мужчины может проявиться в паху и на пенисе после использования латекса, приема определенных лекарств или ношения синтетического недышащего белья. Также причиной аллергии могут стать стрессы, как психологические, так и физиологические (резкие перепады температур, проведение медицинских манипуляций без наркоза и др.).

Самыми частыми причинами возникновения покраснения и зуда, при котором чешется член и мошонка, являются все же инфекционные патологии. В том числе и венерические. К наиболее распространенным относят:
- Все болезни, передающиеся половым путем. Гонорея, сифилис, уретрит и др. Здесь зуд сочетается с неприятными выделениями желтоватого или зеленоватого цвета с неприятным резким запахом.
- Инфекционно-воспалительные процессы мочеполовой системы. Это могут быть цистит, мочекаменная болезнь. В ходе продвижения песка по мочевыделительным путям мужчина может ощущать жжение и зуд в мочеиспускательном канале. То же самое происходит и при цистите.
- Баланопостит. Одна из крайне неприятных патологий, при которой воспаляются головка пениса и крайняя плоть. Развивается болезнь на фоне проникновения в организм стафилококковой или же стрептококковой инфекции. При затяжной патологии головка пениса начинает покрываться трещинами, а мочеиспускание становится очень болезненному.
- Герпес генитальный. Характеризуется главным симптомом — появлением язвочки на поверхности пениса.
- Инвазия глистная. Также относится к инфекционным причинам появления зуда в интимной зоне. Однако здесь чесотка будет более всего ощущаться в зоне заднего прохода. Если мужчина носит в себе бычьего цепня, то проглоттиды могут ночью выбираться из заднего прохода и передвигаться в интимной зоне, вызывая зуд.
Сопутствующие симптомы
Практически всегда сыпь у ребенка в паховой области сопровождается неприятными и даже болезненными симптомами: повышением температуры, плаксивостью, отсутствием аппетита. Самый большой дискомфорт младенцу доставляет зуд.
Зуд у мальчиков
У мальчика покраснения и высыпания часто затрагивают область паха и мошонки. После подмываний зуд немного стихает, набирая силу ночью (что мешает малышу нормально высыпаться). Поверхность высыпаний шелушится. При этом кожные покровы полового члена зудом не затрагиваются, а вот промежность и межъягодичная складка могут сильно чесаться. Часто данная дерматологическая проблема затрагивает детей с ожирением за счет большой площади кожных складочек в паховой области.
К сведению. В плане гигиенического ухода малыши мужского и женского пола немного отличаются. Мальчишек можно подмывать в разных направлениях, девочек – строго от паха к анальному отверстию.
Зуд у девочек
У девочек прыщики появляются в области половых губ, последующие зуд и расчесывание могут привести к язвоподобным ранкам на нежной коже этой зоны, попавшие в них бактерии спровоцируют синехии (при этом промежность может сильно покраснеть и чесаться).
Также зуд может наблюдаться при воспалительных заболеваниях: вульвовагинитом (он часто возникает от частых ОРЗ, воспалений мочевых путей, ангины, ведущих к общему снижению иммунитета) и вульвитом.
Дополнительная информация. Еще сопутствующими симптомами могут быть выделения из половых каналов белого, желтого или зеленоватого цвета, а также учащенное и болезненное мочеиспускание.

Сыпь в паху у девочек часто сопровождается зудом
Иногда зуд в паховой области у девочек может возникнуть из-за пересушивания кожи при слишком частом подмывании или аллергической реакции на моющее средство. Лучше всего мыть малышек проточной водой и аккуратно промокать мягкой марлей.
Факторы риска
Установить точные причины, которые спровоцировали возникновение раздражения в области половых органов у ребенка, всегда сможет педиатр. Родители могут лишь предполагать, что именно вызвало появление малоприятных симптомов у малыша. Чаще всего зуд, покраснение, жжение в интимной зоне возникает у маленьких детей из-за следующих факторов:
- Аллергическая реакция. Ароматизированный стиральный порошок или моющие гели, подгузники из некачественных материалов, синтетическое белье всегда могут стать причиной местной аллергии. После длительного контакта с аллергеном на коже и слизистых младенца может появиться не только зуд, но и сыпь, отечность, покраснение.
- Неправильный уход. Если родители редко меняют подгузники и ленятся часто подмывать ребенка, на его кожных покровах может возникнуть так называемый пеленочный дерматит. Если нежная кожа в районе половых органов и заднего прохода будет длительное время соприкасаться с фекалиями и мочой, на ней появится сильное раздражение, при этом малыш будет испытывать жжение, боль и постоянное желание почесать зудящий участок тела.
- Длительное ношение подгузника. Даже если все гигиенические процедуры проводятся вовремя, и родители регулярно очищают половые органы и задний проход ребенка после туалета, при длительном нахождении в подгузнике у малыша может возникнуть потница (раздражение, вызванное парниковым эффектом). Зуд в интимной зоне – очень часто встречающийся симптом у грудничков, круглосуточно носящих подгузники.
- Тесное и неудобное белье. Если ребенок уже перестал ходить в подгузниках и стал носить плавки, причиной неприятного зуда может стать неправильно подобранное белье. Из-за слишком тесных синтетических трусиков на коже малыша могут возникнуть опрелости, в результате этого интимная зона начнет сильно зудеть и чесаться.
- Прием антибиотиков. Одним из побочных эффектов антибактериальных препаратов является появления высыпания на теле. У маленьких детей чешущаяся сыпь может возникнуть в районе половых органов.
- Заражение паразитами. Глистные инвазии, от которых часто страдают маленькие детки, могут привести к появлению зуда и жжения в интимной зоне. Паразиты способны откладывать яйца в складках заднего прохода. Из-за токсинов, выделяемых гельминтами, чесаться будет не только анус, но и рядом расположенные наружные половые органы.
- Бактериальные и грибковые инфекции. Основным симптомом при инфекционных заболеваниях, локализующихся в интимной зоне, является сильный зуд на кожных и слизистых покровах. Вместе с ним малыша будет мучить раздражение, жжение, появление различных прыщиков и гнойничков в районе половых органов.
Комплексное лечение сыпи
Чаще всего от раздражения в паху страдают груднички. Причиной заболевания является недостаточно тщательный уход за младенцем. Сыпь появляется при долгом соприкосновении кожных покровов интимной области с мочой или калом. Слишком теплая одежда служит источником потливости, а пот также раздражает кожу.
Еще одной причиной такого рода недомоганий у ребенка служит неверно подобранный подгузник. Если материал нижнего белья натирает или одежда жмет, на коже возникает раздражение. В интимной зоне кожные покровы особенно нежные. Раздраженные участки в паху становятся средой обитания микробов и грибков. Они начинают распространяться и размножаться, что приводит к воспалительному процессу.
При воспалении кожи в интимной зоне половые органы начинают чесаться и болеть. Ребенок капризничает, плохо спит, поэтому родителям необходимо срочно принять меры. Одной из частых причин активизации грибка является аллергическая реакция организма на продукты питания или лекарства. В этом случае необходимо посетить аллерголога.
Причины сыпи и зуда в паху у детей связаны со следующими патологиями:
- грибковым поражением кожных покровов;
- бактериальным заболеванием кожи;
- дерматитом;
- экземой;
- наличием лобковых вшей;
- чесоткой;
- инфекционными болезнями мочеполовой системы;
- сахарным диабетом и другими гормональными проблемами;
- патологиями печени и желчевыводящих путей.
У грудничков часто появляется сыпь на шее. Она связана с плохой приспосабливаемостью организма к смене температур, с перегревом из-за слишком теплой одежды. Вокруг ротика прыщики появляются от обильного слюнотечения. С разными видами сыпи с пояснениями можно ознакомиться на фото ниже.

Когда половые органы младенца покраснели, необходимо обратиться в поликлинику. Способы лечения сыпи в интимной зоне зависят от вызвавшей ее причины. Одновременно необходимо пересмотреть требования к чистоте нижнего белья и качеству подгузников. Длительность терапии составляет около 10 дней:
При зуде в паховой области используются антисептические препараты наружного применения: Гистан, Незулин, Бороментол, Фенистил гель. В запущенных случаях назначают гормональные мази (см. также: гормональные мази от дерматита у детей).
- Если сыпь и покраснение имеют грибковую природу, применяют мази для наружного использования: Нистатин, Сертаконазол, Миконазол и др. Их наносят на половые губы девочек и яички мальчиков дважды в день после гигиенической обработки.
- При паховой молочнице применяют протирания интимной зоны антисептическими растворами – водой с содой, перекисью водорода. Подойдут растворы Мирамистина, Фурацилина. Врач может назначить иммуномодулирующие препараты.
- Если заболевание вызвано аллергической реакцией, необходимо выявить источник аллергии и исключить его использование. Это может быть продукт питания или лекарство. Для полного излечения врач назначит антигистаминные препараты – Фенистил, Кларитин, Зодак и др.
Если заболевание носит инфекционный характер, лечение назначает педиатр или инфекционист. Комплексное лечение включает в себя коррекцию меню и режима питания, принятие витаминных препаратов и указанных врачом пробиотиков.
Народные средства против сыпи предполагают снятие симптоматики заболевания, а не его лечение. Их используют в комплексе с основными методами терапии. Для гигиены половых губ у девочек используются отвары и настои таких трав, как ромашка, шалфей, тысячелистник, кора дуба, зверобой. Мальчикам половые органы также нужно ежедневно мыть теплыми отварами трав. При аллергии эффективен настой лаврового листа. Для уменьшения раздражения кожи младенцам назначают ванны с морской солью.
Причины
К появлению высыпаний на ягодицах у малышей приводят самые разнообразные причины. Важным критерием появления таких элементов прежде всего является возраст ребенка.
Причины, способствующие возникновению сыпи на попе у новорожденного ребенка, могут быть совсем иными, чем у школьника или подростка. Выраженность проявления неблагоприятных симптомов высыпаний может быть разной и зависит от исходного состояния малыша.

Маленький организм малыша очень уязвим к проникновению в него различных инфекций. Довольно часто именно они и вызывают появление у ребенка различных высыпаний на ягодицах.
Бактериальные инфекции
могут привести к возникновению у малыша различных кожных элементов, внутри которых находится желтая или кровянистая жидкость. Как правило, к развитию таких гнойничков на коже приводит стафилококковая или стрептококковая флора
. Анаэробные микробы вызывают данные формы заболевания гораздо реже.


Стафилококк
Появление на попе у ребенка сыпи может свидетельствовать о банальном раздражении.
Это может произойти и с абсолютно здоровым малышом при ношении неправильно подобранной одежды.
У грудничков такая ситуация возникает при длительном ношении подгузников
. Контактный дерматит в этом случае характеризуется появлением сыпи на ягодицах и в паху. Это состояние довольно неприятно для малыша и может вызывать у него выраженный дискомфорт, а также изменение его привычного поведения.


Малыши, имеющие высыпания на коже, становятся более капризными. Они могут постоянно менять свое положение в кроватке.
Как правило, контактный дерматит сопровождается выраженным зудом. Это приводит к тому, что малыш начинает расчесывать поврежденные участки кожи. Такая ситуация является крайне неблагоприятной, так как ребенок может занести в область расчесов вторичную бактериальную инфекцию, которая приводит к нагноению и возникновению на коже различных гнойничков.

Контактный дерматит
Аллергические патологии вызывают появление на кожных покровах у малышей сыпи довольно часто. У малышей грудного возраста к появлению различных высыпаний на попе, как правило, приводит введение в их пищевой рацион новых продуктов питания в виде прикормов.
На некоторые такие компоненты пищи у малыша может быть индивидуальная повышенная чувствительность, которая и способствует развитию аллергической реакции.

Использование
неподходящей детской косметики
является также весьма распространенной причиной появления на ягодицах и ножках ребенка различных высыпаний. Такая сыпь, как правило, сильно чешется. Замечают этот признак мамы обычно во время проведения ежедневных гигиенических процедур.

Дети более старшего возраста могут отмечать появление этих симптомов самостоятельно. К причинам, ведущих к появлению сыпи, относятся некоторые детские инфекции.
Эти заболевания сопровождаются повышением температуры тела, а также множеством других неблагоприятных симптомов.
Высокая заболеваемость такими инфекциями возникает преимущественно в организованных коллективах. Большинство из них передаются воздушно-капельным способом, что и обуславливает значимую заболеваемость.
Ветряная оспа, краснуха , корь
сопровождаются появлением на коже малыша различных высыпаний. Эти заболевания приводят к тому, что общее самочувствие ребенка сильно нарушается.

Краснуха

Настроение заболевшего малыша может меняться достаточно быстро. Уже через несколько минут, после того, как малыш поплачет, у него появляется прежняя улыбка и хорошее настроение.
Течение детских инфекций обычно среднетяжелое
, однако заканчивается полным выздоровлением.
Народные средства от опрелостей
Рассматривая, как лечить опрелости в паху у ребенка, не стоит пренебрегать средствами народной медицины. Рассмотрим наиболее эффективные средства для устранения проблемы:
Облепиховое и подсолнечное масло. Отличными восстанавливающими и смягчающим воздействиями характеризуются растительные масла. Это могут быть облепиховое, оливковое, подсолнечное масло. Но каждая мама должна знать, что перед нанесением их необходимо стерилизовать, или покупать специальные масла для грудничков в аптеке. Облепиховое масло чаще всего назначается для устранения эрозий, так как оно содержит большое количество микроэлементов. Это универсальное средство для борьбы с рубцами, ожогами, опрелостями, растяжками. Также средство характеризуется природным иммуномодулирующим действием, усиливающим активность местной иммунологической реактивности эпидермиса ребенка. Облепиховое масло характеризуется противогрибковой активностью, и показано как при легких формах опрелостей, так и в тяжелых случаях. Подсолнечное масло считают самым доступным способом лечения опрелости в паху у детей. Но его рекомендуют применять на начальных стадиях проблемы. При этом даже его применение должно быть с разрешения педиатра.
Примочки с настоем тысячелистника
Рассматривая, как избавиться от опрелости у грудного ребенка, то стоит уделить внимание примочкам с настоем тысячелистника. Отрезать кусок марли, который свернуть в несколько слоев
Этот кусочек вымачивают в травяном настое и прикладывают к больной зоне. Процедуру проводят трижды в сутки. Для приготовления растолочь растение, взять 3 большие ложки, пересыпать в тарелку и залить чашкой кипятка. Сверху накрыть блюдцем и дать настояться. Как только настой остывает, его процеживают, смачивают в нем марлю и прикладывают к опрелости.
Примочки с настоем эвкалипта. Для приготовления лечебного настоя взять 2 большие ложки листьев и залить их стаканом кипятка. Оставить настаиваться на пару минут, после чего раствор можно использовать для процедуры.
Бальзам с алоэ. Рассматривая, чем лечить опрелости у девочек и мальчиков, то обязательно обратить внимание на алоэ. Растение содействует заживлению и смягчению эпидермиса, характеризуется антифлогистическим действием. Для получения в домашних условиях бальзама взять по несколько капель экстракта алоэ, вазелина, стеаринового спирта, минерального масла. В керамической емкости все составляющие смешиваются и тщательно перемешиваются. Полученный гель наносится на складочки в паху перед тем, как сменить памперс.
Присыпка. Хорошо воздействуют на влажные трещины с воспалениями присыпки от опрелостей у новорожденных. Они вбирают всю лишнюю жидкость и заживляют ранки. Для получения средства можно брать смесь талька и кукурузного крахмала в соотношении 50 г к 20 г. Параллельно добавить 7 г оксида цинка, 2 г аллантоина и несколько капель масла лаванды. Такое средство наносить только на чистую и высушенную дерму. При этом запрещено протирать полотенцем пораженные зоны
Важно знать, что вместо присыпки нельзя использовать крахмал при опрелостях.
Соки для протирания. Достаточно полезны натуральные соки при лечении опрелостей в паху у грудничка
Эффективен тыквенный сок. Для этого мякоть тыквы перетирают на терке, выдавливают жидкость через марлю. Полученным соком протирать больные участки. Также полезен сок из свежих листьев мать-и-мачехи. Следует в него добавить пару капель льняного масла. Также полезен сок из подорожника.
Березовые почки. Взять сырье, мелко измельчить, смешать с вазелином и полученное средство наносить на поврежденные участки.
Отвар коры дуба. Такое средство используют для компрессов, протираний при опрелостях в паху у мальчика и девочки. Также отвар добавляют в ванночки. Он повышает защитные силы кожи и борется с островоспалительными процессами.
Любой рецепт народной медицины может быть включен в общую схему лечения опрелостей в паху у грудничка
Но важно перед применением проконсультироваться со специалистом
Причины высыпаний в интимных местах
Сыпь классифицируется по разным видам и причинам появления. Болезнь, провоцирующая ее, может развиваться стремительно или постепенно. Основными причинами появления сыпи в паху у новорожденного и грудничка являются следующие.
Грибковая инфекция
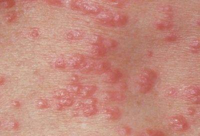
В районе паха у младенцев особенно нежная кожа, место это теплое и влажное, поэтому малейшее его раздражение может стать идеальной средой для размножения болезнетворных грибков, провоцирующих воспаления. Из-за них у малыша начинаются зуд и болевой синдром, что сопровождается плачем и плохим сном. Примерами такой инфекции могут служить паховая дерматофития, которая вызывается грибком «Трихофитон рубрум», а также кандидоз, спровоцированный активным размножением дрожжей грибка Candida.

Запущенный случай пахового грибка
Пеленочный дерматит
Пальму первенства среди кожных проблем у грудничков держит пеленочный дерматит, который затрагивает практически каждого малыша до года. Заболевание начинается с нескольких мокнущих пятнышек, кожа в интимной зоне покрывается прыщами, которые иногда лопаются и образуют зудящую корочку. При ее расчесывании образуются ранки, через которые в организм малыша может проникнуть инфекция. Причиной дерматологического поражения является редкая смена переполненных подгузников.

Пеленочный дерматит на попе малыша
Признаки чесотки
Чесотка – заразное заболевание, которое передается через непосредственный контакт с носителем. Вызывается оно клещевыми паразитами. На вид представляет собой парные небольшие точки, расположенные на расстоянии нескольких миллиметров друг от друга. Поражение начинается с конечностей, часто затрагивает паховую зону. Сыпь сильно зудит (особенно по ночам), и ребенок начинает чесаться.
Плохая гигиена
Если полный или испачканный фекалиями подгузник грудничка долго не меняется, на его нежных местах (а именно таким является паховая зона) появляется покраснение. Когда малыша слишком тепло укутывают, он потеет, тогда, помимо интимных зон, сыпь может захватить область подмышек и шейки, поскольку пот является сильным раздражителем для дермального слоя.
Высыпания и зуд у ребенка в паховой области иногда появляются при неверно подобранном размере подгузника (слишком давит или очень свободный и подтекает) или аллергической реакции на его материал.

Сыпь от неподходящего подгузника
Важно! Переусердствовать с гигиеной тоже не стоит – при слишком частом подмывании крохи моющими средствами или туалетным мылом могут появиться краснота и раздражение и даже начаться грибковая инфекция
Детская потничка
В летние месяцы главная напасть для нежной младенческой кожи – потница. Она представляет собой розоватую сыпь в виде пузырьков. Локализуется обычно в складках шеи, ножек, а также паху и подмышками. Данное кожное заболевание возникает из-за торможения испарения пота, поскольку закупориваются потовые железы.
Причинами болезни являются:
- перегрев, как кожи, так и всего организма в целом (перекутывание малыша);
- недостаточное очищение дермы;
- применение в уходе слишком жирных кремов;
- инфекционное поражение или жар у младенца.
Сыпь в паху у ребенка от детской потнички сама по себе неопасная, но может быть причиной нервозности карапуза и его плохого сна и аппетита.
Обратите внимание! Легко можно спутать безвредную потничку с серьезными болезнями, типа кори или скарлатины, поэтому при малейших подозрениях необходимо показать ребенка педиатру
Профилактика синехий у девочек

В целях профилактики синехий у девочек надо:
- правильно подмывать, делается это каждый день под проточной водой и спереди назад, чтобы избежать занесения инфекции
- подмывать только руками, категорически запрещается использовать мочалку, можно повредить нежную ткань половых губ
- мыло при подмывании использовать только раз в неделю, оно должно быть детским без ароматизаторов и красителей. Частое использование мыла пересушивает слизистую и провоцирует синехии. Лучше вообще отказаться от мыла
- пользоваться правильно подгузниками, менять каждые три часа и чаще
- делать воздушные ванны для половых органов, чем дольше тем лучше
- нижнее белье выбирать только из натуральных тканей и по размеру, перед тем как одеть на ребёнка надо проглаживать утюгом
- стирать детские вещи отдельно от вещей взрослых
- если ребенок аллергик, внимательно следить за аллергическими реакциями. В случае покраснения, обильно смазывать малые половые губы детским кремом без ароматизаторов или использовать крем от опрелостей
- не злоупотреблять ванночками из трав или марганцовки
Причины сыпи у детей в паху, диагностика и лечение заболеваний кожи

Кожа ребенка очень чувствительна, нуждается в тщательной гигиене. Однако сыпь в паху у ребенка образуется даже при отличном уходе.
Часто возникают участки покраснения и воспаления в зоне контакта тела с подгузником — потница, пеленочный дерматит (опрелости).
Некоторые дети более склонны к раздражению кожи и распространению сыпи, инфицированию бактериями. Таким младенцам требуется особенно тщательный гигиенический уход.
Потница
Терморегуляция у маленьких детей не полностью сформирована, каналы потовых желез не справляются с работой. Усиленное кровообращение приводит к появлению сыпи у ребенка в паховой области, где более влажные условия и затрудняется теплоотдача.
Детям легче терпеть холод, чем жару, но многие родители забывают об этом и кутают малышей. Необходимо избегать перегрева тела младенца, лечить появившиеся россыпи красных пятен, узелков и пузырьков, улучшить санитарно-гигиенические условия.
Сыпь в паху у ребенка дважды в день промывают настоем ромашки, череды или шалфея. Подходят травы, обладающие антисептическим и противовоспалительным действием.
Жирные кремы и мази закупоривают поры, что может вызвать рост бактерий и воспаление. Такой же негативный результат после применения талька, присыпки.
Пеленочный дерматит (опрелости)
Повышенная влажность в области подгузника часто приводит к покраснению гениталий, ягодиц и внутренней поверхности бедер ребенка. Пораженные участки могут быть сухими и возвышенными, либо плоскими, глянцевыми.
Сыпь между ног у ребенка чаще встречается у детей старше четырех месяцев.
После использования определенной марки влажных салфеток, подгузников, введения прикорма могут появиться красные пятна и россыпь прыщей в интимной зоне.
Более подвержены пеленочному дерматиту младенцы, склонные к аллергическим реакциям.
Раздражения и воспаление кожи под подгузником связаны с типом стула младенца, грибковой или бактериальной инфекцией. Сыпь в области паха у ребенка часто появляется при прорезывании молочных зубов. В 6–9 месяцев слюна становится более кислой, попадает в желудок и делает стул более раздражающим. Сыпи в паховой зоне сильнее подвержены дети на искусственном вскармливании.
Пеленочный дерматит лечат мазями «Цинковая», «Деситин», «Драполен». Регулярно наносят одно из средств на кожу младенца под подгузник до исчезновения сыпи. Паховая область должна быть вымыта и высушена перед применением наружного лечебного средства. Лучшая помощь раздраженной коже — содержание в чистоте и сухости, регулярная смена подгузника.
Чесотка
Чесоточный клещ, вызывающий заболевание кожи, передается при непосредственных контактах. Паразит прокалывает роговой слой эпидермиса, делает ходы и откладывает яйца. Личинки выходят наружу и распространяются по телу того же человека или заражают других людей.
Интервью с экспертом
Врач акушер-гинеколог Сибилева Екатерина Андреевна
Зуд в интимной области – одна из самых распространенных жалоб пациенток гинеколога. Довольно часто с такой проблемой приходят девушки после первой близости, беременные женщины и те, кто уже вступил в климакс.
Какие причины зуда в интимной области у женщин встречаются чаще всего?
Зуд в интимной области у женщин может быть вызван различными заболеваниями. Чаще всего причиной становится инфекционный процесс. При обследовании обычно выявляется молочница, бактериальный вагиноз, неспецифическая флора. Реже встречаются специфические инфекции – гонорея, хламидиоз.
Вторая распространенная причина – аллергическая реакция. Все чаще женщины жалуются на зуд и жжение кожи после использования некачественных средств интимной гигиены. Другие причины зуда – эндокринные заболевания, серьезные дерматологические проблемы – встречаются гораздо реже.
Какими препаратами можно безопасно снять зуд на время, если посещение врача в ближайшее время невозможно?
Без осмотра и обследования нельзя сказать, грибок или аллергия стали причиной зуда.
До визита к врачу можно облегчить состояние с помощью специальных средств для интимной гигиены. Они отпускаются без рецепта, не содержат мыла и поддерживают pH интимной зоны 4-5. Хорошо снимают зуд и жжение, но помните – это временная мера. Такие средства не лечат, а только убирают на время симптомы.
Каковы могут быть последствия игнорирования проблемы?
Инфекция будет прогрессировать, перейдет из влагалища в матку, придатки, мочевой пузырь, может привести к бесплодию. Аллергия распространится по другим участкам тела. Иные серьезные заболевания без лечения также будут развиваться и приведут к осложнениям. Не затягивайте с визитом к врачу.




















































































































